Comparison

MIB2 Antibody

Item no. PRS-18-124-100uL
Manufacturer ProSci
Amount 100 uL
Quantity options 100 uL
Category
Type Antibody Primary
Format Liquid
Applications WB
Specific against Human (Homo sapiens), Mouse (Murine, Mus musculus), Rat (Rattus norvegicus), other
Host Rabbit
Isotype IgG
Conjugate/Tag Unconjugated
NCBI MIB2
ECLASS 10.1 32160702
ECLASS 11.0 32160702
UNSPSC 12352203
Shipping Condition Cool pack
Available
Specificity Human,Mouse,Rat,Other
Manufacturer - Type
Primary Antibodies
Shipping Temperature
Blue Ice
Storage Conditions
Store at -20˚ C. Avoid freeze / thaw cycles.
Molecular Weight
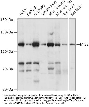
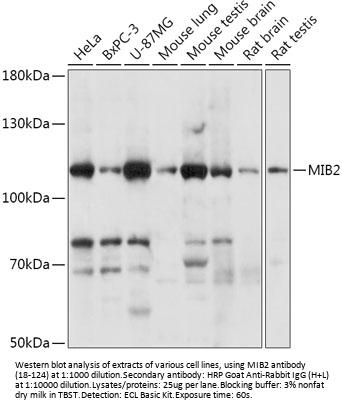
Observed: 110kDa
Manufacturer - Research Area
Cell Cycle
Background
The protein encoded by this gene is an E3 ubiquitin protein ligase that mediates ubiquitination of proteins in the Notch signaling pathway. The encoded protein may be a suppressor of melanoma invasion. [provided by RefSeq, Mar 2017]
By Type
Cell Cycle
Modifications
None
Purification
Affinity purification
Positive Control 1
HeLa
Positive Control 2
BxPC-3
Positive Control 3
U-87MG
Positive Control 4
Mouse lung
Positive Control 5
Mouse testis
Positive Control 6
Mouse brain
Concentration
batch dependent
Buffer
PBS with 0.02% sodium azide, 50% glycerol, pH7.3.
Application Note
WB: 1:500 - 1:2000
Immunogen
Recombinant fusion protein containing a sequence corresponding to amino acids 300-580 of human MIB2 (NP_001164158.1).
Clonality
Polyclonal
NCBI Official Name
mindbomb E3 ubiquitin protein ligase 2
NCBI Organism
Homo sapiens
User Note
Optimal dilutions for each application to be determined by the researcher.
Manufacturer - Additional Names
ZZANK1, ZZZ5, E3 ubiquitin-protein ligase MIB2, RING-type E3 ubiquitin transferase MIB2, mind bomb homolog 2, mindbomb homolog 2, novel zinc finger protein, novelzin, putative NF-kappa-B-activating protein 002N, skeletrophin, zinc finger ZZ type with ankyrin repeat domain protein 1, zinc finger, ZZ type with ankyrin repeat domain 1

Note: The presented information and documents (Manual, Product Datasheet, Safety Datasheet and Certificate of Analysis) correspond to our latest update and should serve for orientational purpose only. We do not guarantee the topicality. We would kindly ask you to make a request for specific requirements, if necessary.

All products are intended for research use only (RUO). Not for human, veterinary or therapeutic use.

Amount: 100 uL
Available: In stock
available

Compare

Add to wishlist

Get an offer

Request delivery time

Ask a technical question

Submit a bulk request

Questions about this Product?
 
Close