Comparison

CSNK1E Antibody, KO Validated

Item no. PRS-18-170-100uL
Manufacturer ProSci
Amount 100 uL
Quantity options 100 uL
Category
Type Antibody Primary
Format Liquid
Applications WB, IF, IP, IHC
Specific against Human (Homo sapiens), Mouse (Murine, Mus musculus), Rat (Rattus norvegicus)
Host Rabbit
Isotype IgG
Conjugate/Tag Unconjugated
NCBI CSNK1E
ECLASS 10.1 32160702
ECLASS 11.0 32160702
UNSPSC 12352203
Alias CSNK1E,casein kinase 1,epsilon,RP1-5O6.1,HCKIE,MGC10398,CKI-epsilon,OTTHUMP00000063258,OTTHUMP00000063263,casein kinase 1 epsilon,casein kinase I epsilon,CKIepsilon
Shipping Condition Cool pack
Available
Specificity Human,Mouse,Rat
Manufacturer - Type
Primary Antibodies
Shipping Temperature
Blue Ice
Storage Conditions
Store at -20˚ C. Avoid freeze / thaw cycles.
Molecular Weight
Observed: 47kDa
Manufacturer - Research Area
Cell Cycle, Signal Transduction
Background
The protein encoded by this gene is a serine/threonine protein kinase and a member of the casein kinase I protein family, whose members have been implicated in the control of cytoplasmic and nuclear processes, including DNA replication and repair. The encoded protein is found in the cytoplasm as a monomer and can phosphorylate a variety of proteins, including itself. This protein has been shown to phosphorylate period, a circadian rhythm protein. Two transcript variants encoding the same protein have been found for this gene.
By Type
Cell Cycle, Signal Transduction
Badges
KO
Modifications
None
Purification
Affinity purification
Validation
Antibody is Knockout validated.
Positive Control 1
HeLa
Positive Control 2
293T
Concentration
batch dependent
Buffer
PBS with 0.02% sodium azide, 50% glycerol, pH7.3.
Application Note
WB: 1:500 - 1:2000
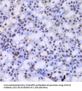
IHC: 1:50 - 1:200
IF: 1:50 - 1:200
IP: 1:50 - 1:100
Immunogen
Recombinant fusion protein containing a sequence corresponding to amino acids 247-416 of human CSNK1E (NP_689407.1).
Clonality
Polyclonal
NCBI Official Name
casein kinase 1, epsilon
NCBI Organism
Homo sapiens
User Note
Optimal dilutions for each application to be determined by the researcher.
Validation
Antibody is Knockout validated.

Note: The presented information and documents (Manual, Product Datasheet, Safety Datasheet and Certificate of Analysis) correspond to our latest update and should serve for orientational purpose only. We do not guarantee the topicality. We would kindly ask you to make a request for specific requirements, if necessary.

All products are intended for research use only (RUO). Not for human, veterinary or therapeutic use.

Amount: 100 uL
Available: In stock
available

Compare

Add to wishlist

Get an offer

Request delivery time

Ask a technical question

Submit a bulk request

Questions about this Product?
 
Close