Comparison

PSMD2 Antibody

Item no. PRS-18-436-100uL
Manufacturer ProSci
Amount 100 uL
Quantity options 100 uL
Category
Type Antibody Primary
Format Liquid
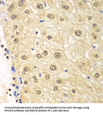
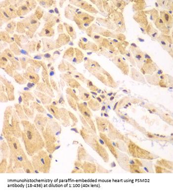
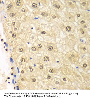
Applications WB, IF, IHC
Specific against Human (Homo sapiens), Mouse (Murine, Mus musculus)
Host Rabbit
Isotype IgG
Conjugate/Tag Unconjugated
NCBI PSMD2
ECLASS 10.1 32160702
ECLASS 11.0 32160702
UNSPSC 12352203
Shipping Condition Cool pack
Available
Specificity Human,Mouse
Manufacturer - Type
Primary Antibodies
Shipping Temperature
Blue Ice
Storage Conditions
Store at -20˚ C. Avoid freeze / thaw cycles.
Molecular Weight
Observed: 108kDa
Manufacturer - Research Area
Cell Cycle
Background
The 26S proteasome is a multicatalytic proteinase complex with a highly ordered structure composed of 2 complexes, a 20S core and a 19S regulator. The 20S core is composed of 4 rings of 28 non-identical subunits; 2 rings are composed of 7 alpha subunits and 2 rings are composed of 7 beta subunits. The 19S regulator is composed of a base, which contains 6 ATPase subunits and 2 non-ATPase subunits, and a lid, which contains up to 10 non-ATPase subunits. Proteasomes are distributed throughout eukaryotic cells at a high concentration and cleave peptides in an ATP/ubiquitin-dependent process in a non-lysosomal pathway. An essential function of a modified proteasome, the immunoproteasome, is the processing of class I MHC peptides. This gene encodes one of the non-ATPase subunits of the 19S regulator lid. In addition to participation in proteasome function, this subunit may also participate in the TNF signalling pathway since it interacts with the tumor necrosis factor type 1 receptor. A pseudogene has been identified on chromosome 1. Alternative splicing results in multiple transcript variants of this gene.
By Type
Cell Cycle
Modifications
None
Purification
Affinity purification
Positive Control 1
SW480
Positive Control 2
OVCAR3
Positive Control 3
M21
Positive Control 4
U-937
Positive Control 5
SH-SY5Y
Positive Control 6
Mouse testis
Concentration
batch dependent
Buffer
PBS with 0.02% sodium azide, 50% glycerol, pH7.3.
Application Note
WB: 1:500 - 1:2000
IHC: 1:50 - 1:200
IF: 1:50 - 1:200
Immunogen
Recombinant fusion protein containing a sequence corresponding to amino acids 1-260 of human PSMD2 (NP_002799.3).
Clonality
Polyclonal
NCBI Official Name
proteasome (prosome, macropain) 26S subunit, non-ATPase, 2
NCBI Organism
Homo sapiens
User Note
Optimal dilutions for each application to be determined by the researcher.
Manufacturer - Additional Names
PSMD2, S2, P97, TRAP2, MGC14274, proteasome (prosome, macropain) 26S subunit, non-ATPase, 2, 55.11 protein, TNFR-associated protein 2, 26S proteasome subunit p97, 26S proteasome regulatory subunit S2, 26S proteasome non-ATPase regulatory subunit 2, tumor necrosis factor receptor-associated protein 2

Note: The presented information and documents (Manual, Product Datasheet, Safety Datasheet and Certificate of Analysis) correspond to our latest update and should serve for orientational purpose only. We do not guarantee the topicality. We would kindly ask you to make a request for specific requirements, if necessary.

All products are intended for research use only (RUO). Not for human, veterinary or therapeutic use.

Amount: 100 uL
Available: In stock
available

Compare

Add to wishlist

Get an offer

Request delivery time

Ask a technical question

Submit a bulk request

Questions about this Product?
 
Close