Comparison

KLK3 Antibody

Item no. PRS-18-468-100uL
Manufacturer ProSci
Amount 100 uL
Quantity options 100 uL
Category
Type Antibody Primary
Format Liquid
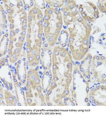
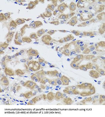
Applications WB, IF, IHC
Specific against Human (Homo sapiens), Mouse (Murine, Mus musculus), Rat (Rattus norvegicus)
Host Rabbit
Isotype IgG
Conjugate/Tag Unconjugated
NCBI KLK3
ECLASS 10.1 32160702
ECLASS 11.0 32160702
UNSPSC 12352203
Alias Prostate-specific antigen,PSA,Gamma-seminoprotein,Seminin,Kallikrein-3,P-30 antigen,Semenogelase,KLK3,APS
Shipping Condition Cool pack
Available
Specificity Human,Mouse,Rat
Manufacturer - Type
Primary Antibodies
Shipping Temperature
Blue Ice
Storage Conditions
Store at -20˚ C. Avoid freeze / thaw cycles.
Molecular Weight
Observed: 29kDa
Manufacturer - Research Area
Cancer, Cell Cycle, Immunology, Neuroscience, Signal Transduction
Background
Kallikreins are a subgroup of serine proteases having diverse physiological functions. Growing evidence suggests that many kallikreins are implicated in carcinogenesis and some have potential as novel cancer and other disease biomarkers. This gene is one of the fifteen kallikrein subfamily members located in a cluster on chromosome 19. Its protein product is a protease present in seminal plasma. It is thought to function normally in the liquefaction of seminal coagulum, presumably by hydrolysis of the high molecular mass seminal vesicle protein. Serum level of this protein, called PSA in the clinical setting, is useful in the diagnosis and monitoring of prostatic carcinoma. Alternate splicing of this gene generates several transcript variants encoding different isoforms.
By Type
Cancer, Cell Cycle, Immunology, Neuroscience, Signal Transduction
Modifications
None
Purification
Affinity purification
Positive Control 1
DU145
Positive Control 2
293T
Concentration
batch dependent
Buffer
PBS with 0.02% sodium azide, 50% glycerol, pH7.3.
Application Note
WB: 1:500 - 1:2000
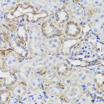
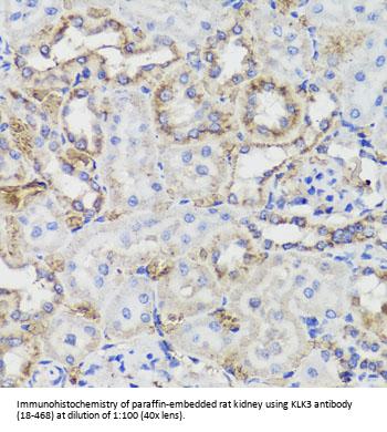
IHC: 1:50 - 1:100
IF: 1:50 - 1:200
Immunogen
A synthetic peptide corresponding to a sequence within amino acids 1-100 of human KLK3 (NP_001639.1).
Clonality
Polyclonal
NCBI Official Name
kallikrein-related peptidase 3
NCBI Organism
Homo sapiens
User Note
Optimal dilutions for each application to be determined by the researcher.

Note: The presented information and documents (Manual, Product Datasheet, Safety Datasheet and Certificate of Analysis) correspond to our latest update and should serve for orientational purpose only. We do not guarantee the topicality. We would kindly ask you to make a request for specific requirements, if necessary.

All products are intended for research use only (RUO). Not for human, veterinary or therapeutic use.

Amount: 100 uL
Available: In stock
available

Compare

Add to wishlist

Get an offer

Request delivery time

Ask a technical question

Submit a bulk request

Questions about this Product?
 
Close