Comparison

PPP2R2A Antibody

Item no. PRS-18-559-100uL
Manufacturer ProSci
Amount 100 uL
Quantity options 100 uL
Category
Type Antibody Primary
Format Liquid
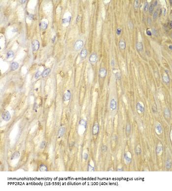
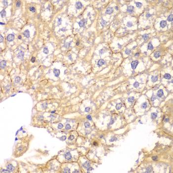
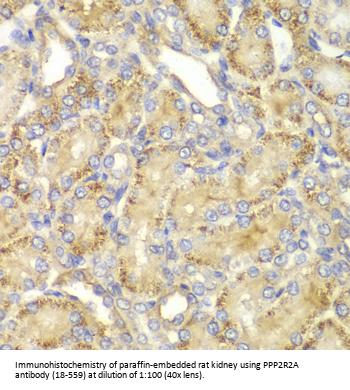
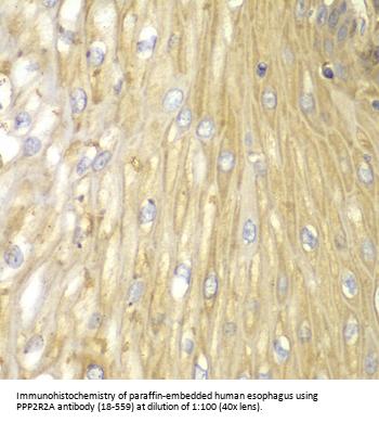
Applications WB, IHC
Specific against Human (Homo sapiens), Mouse (Murine, Mus musculus), Rat (Rattus norvegicus)
Host Rabbit
Isotype IgG
Conjugate/Tag Unconjugated
NCBI PPP2R2A
ECLASS 10.1 32160702
ECLASS 11.0 32160702
UNSPSC 12352203
Alias Serine/threonine-protein phosphatase 2A 55 kDa regulatory subunit B alpha isoform,PP2A subunit B isoform B55-alpha,PP2A subunit B isoform PR55-alpha,PP2A subunit B isoform R2-alpha,PP2A subunit B isoform alpha,PPP2R2A
Shipping Condition Cool pack
Available
Specificity Human,Mouse,Rat
Manufacturer - Type
Primary Antibodies
Shipping Temperature
Blue Ice
Storage Conditions
Store at -20˚ C. Avoid freeze / thaw cycles.
Molecular Weight
Observed: 52kDa
Manufacturer - Research Area
Cell Cycle, Neuroscience, Signal Transduction
Background
The product of this gene belongs to the phosphatase 2 regulatory subunit B family. Protein phosphatase 2 is one of the four major Ser/Thr phosphatases, and it is implicated in the negative control of cell growth and division. It consists of a common heteromeric core enzyme, which is composed of a catalytic subunit and a constant regulatory subunit, that associates with a variety of regulatory subunits. The B regulatory subunit might modulate substrate selectivity and catalytic activity. This gene encodes an alpha isoform of the regulatory subunit B55 subfamily. Alternatively spliced transcript variants have been described.
By Type
Cell Cycle, Neuroscience, Signal Transduction
Modifications
None
Purification
Affinity purification
Positive Control 1
Jurkat
Positive Control 2
Mouse brain
Concentration
batch dependent
Buffer
PBS with 0.02% sodium azide, 50% glycerol, pH7.3.
Application Note
WB: 1:500 - 1:2000
IHC: 1:50 - 1:200
Immunogen
Recombinant fusion protein containing a sequence corresponding to amino acids 1-447 of human PPP2R2A (NP_002708.1).
Clonality
Polyclonal
NCBI Official Name
Serine/threonine-protein phosphatase 2A 55 kDa regulatory subunit B alpha isoform
NCBI Organism
Homo sapiens
User Note
Optimal dilutions for each application to be determined by the researcher.

Note: The presented information and documents (Manual, Product Datasheet, Safety Datasheet and Certificate of Analysis) correspond to our latest update and should serve for orientational purpose only. We do not guarantee the topicality. We would kindly ask you to make a request for specific requirements, if necessary.

All products are intended for research use only (RUO). Not for human, veterinary or therapeutic use.

Amount: 100 uL
Available: In stock
available

Compare

Add to wishlist

Get an offer

Request delivery time

Ask a technical question

Submit a bulk request

Questions about this Product?
 
Close