Comparison

TriMethyl-Histone H3-K9 pAb

Item no. PRS-18-623-100uL
Manufacturer ProSci
Amount 100 uL
Quantity options 100 uL
Category
Type Antibody Primary
Format Liquid
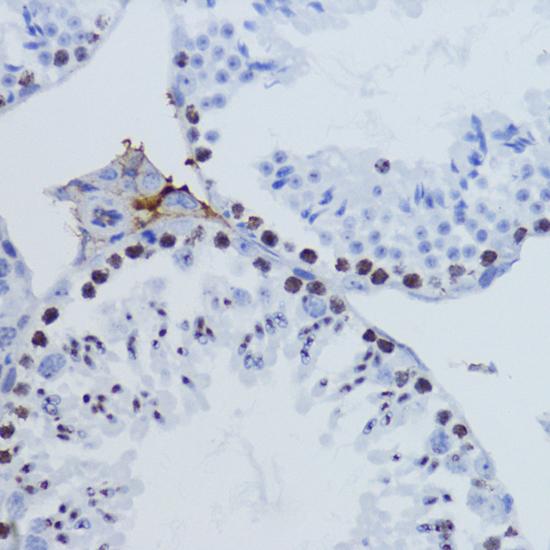
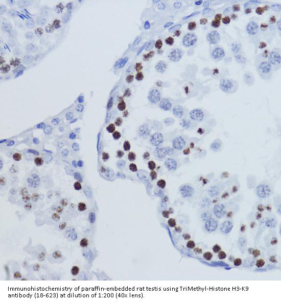
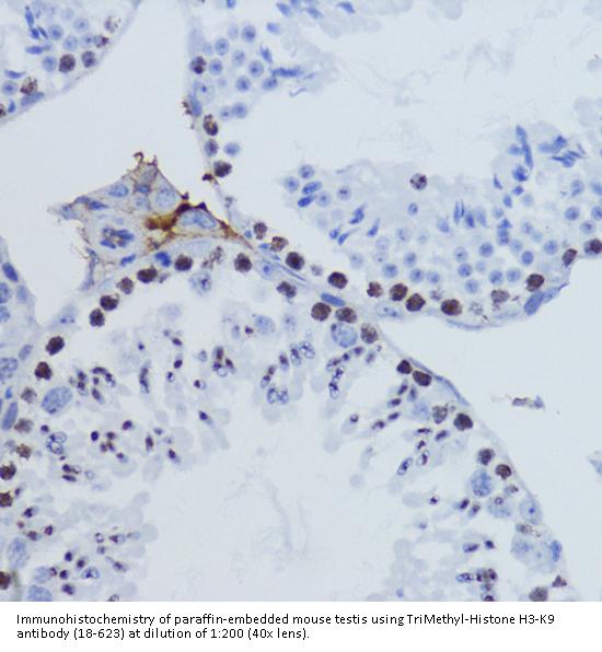
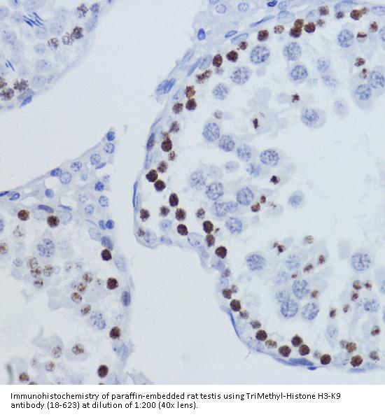
Applications WB, IF, IP, IHC, CHIP
Specific against Human (Homo sapiens), Mouse (Murine, Mus musculus), Rat (Rattus norvegicus), other
Host Rabbit
Isotype IgG
Conjugate/Tag Unconjugated
NCBI H3K9me3
ECLASS 10.1 32160702
ECLASS 11.0 32160702
UNSPSC 12352203
Alias H3F3A,H3t,H3.4,H3/g,H3FT
Shipping Condition Cool pack
Available
Specificity Human,Mouse,Rat,Other
Manufacturer - Type
Primary Antibodies
Manufacturer - Applications
WB, IHC, IF, IP, ChIP, ChIPseq
Shipping Temperature
Blue Ice
Storage Conditions
Store at -20˚ C. Avoid freeze / thaw cycles.
Molecular Weight
Observed: 17kDa
Manufacturer - Research Area
Signal Transduction
Background
Histones are basic nuclear proteins that are responsible for the nucleosome structure of the chromosomal fiber in eukaryotes. Nucleosomes consist of approximately 146 bp of DNA wrapped around a histone octamer composed of pairs of each of the four core histones (H2A, H2B, H3, and H4). The chromatin fiber is further compacted through the interaction of a linker histone, H1, with the DNA between the nucleosomes to form higher order chromatin structures. This gene is intronless and encodes a replication-dependent histone that is a member of the histone H3 family. Transcripts from this gene lack polyA tails; instead, they contain a palindromic termination element. This gene is located separately from the other H3 genes that are in the histone gene cluster on chromosome 6p22-p21.3.
By Type
Signal Transduction
Modifications
Methylated
Purification
Affinity purification
Positive Control 1
HeLa acid extract
Positive Control 2
NIH/3T3 acid extract
Positive Control 3
C6 acid extract
Positive Control 4
H3 protein
Concentration
batch dependent
Buffer
PBS with 0.02% sodium azide, 50% glycerol, pH7.3.
Application Note
WB: 1:500 - 1:2000
IHC: 1:50 - 1:200
IF: 1:50 - 1:200
IP: 1:50 - 1:200
ChIP: 1:50 - 1:200
CHIP seq: 1:50 - 1:200
Immunogen
A synthetic methylated peptide corresponding to residues surrounding K9 of human histone H3
Clonality
Polyclonal
NCBI Official Name
histone cluster 3, H3
NCBI Organism
Homo sapiens
User Note
Optimal dilutions for each application to be determined by the researcher.

Note: The presented information and documents (Manual, Product Datasheet, Safety Datasheet and Certificate of Analysis) correspond to our latest update and should serve for orientational purpose only. We do not guarantee the topicality. We would kindly ask you to make a request for specific requirements, if necessary.

All products are intended for research use only (RUO). Not for human, veterinary or therapeutic use.

Amount: 100 uL
Available: In stock
available

Compare

Add to wishlist

Get an offer

Request delivery time

Ask a technical question

Submit a bulk request

Questions about this Product?
 
Close