Comparison

LTA4H Antibody

Item no. PRS-18-672-100uL
Manufacturer ProSci
Amount 100 uL
Quantity options 100 uL
Category
Type Antibody Primary
Format Liquid
Applications WB, IF
Specific against Human (Homo sapiens), Mouse (Murine, Mus musculus)
Host Rabbit
Isotype IgG
Conjugate/Tag Unconjugated
NCBI LTA4H
ECLASS 10.1 32160702
ECLASS 11.0 32160702
UNSPSC 12352203
Alias LTA4H,LTA4
Shipping Condition Cool pack
Available
Specificity Human,Mouse
Manufacturer - Type
Primary Antibodies
Shipping Temperature
Blue Ice
Storage Conditions
Store at -20˚ C. Avoid freeze / thaw cycles.
Molecular Weight
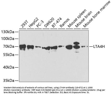
Observed: 69kDa
Manufacturer - Research Area
Cancer, Immunology, Innate Immunity
Background
The protein encoded by this gene is an enzyme that contains both hydrolase and aminopeptidase activities. The hydrolase activity is used in the final step of the biosynthesis of leukotriene B4, a proinflammatory mediator. The aminopeptidase activity has been shown to degrade proline-glycine-proline (PGP), a neutrophil chemoattractant and biomarker for chronic obstructive pulmonary disease (COPD). Several transcript variants encoding different isoforms have been found for this gene.
By Type
Cancer, Immunology, Innate Immunity
Modifications
None
Purification
Affinity purification
Positive Control 1
293T
Positive Control 2
HepG2
Positive Control 3
PC-3
Positive Control 4
SW620
Positive Control 5
BT-474
Positive Control 6
Ramos
Concentration
batch dependent
Buffer
PBS with 0.02% sodium azide, 50% glycerol, pH7.3.
Application Note
WB: 1:500 - 1:2000
IF: 1:50 - 1:200
Immunogen
Recombinant fusion protein containing a sequence corresponding to amino acids 312-611 of human LTA4H (NP_000886.1).
Clonality
Polyclonal
NCBI Official Name
leukotriene A4 hydrolase
NCBI Organism
Homo sapiens
User Note
Optimal dilutions for each application to be determined by the researcher.

Note: The presented information and documents (Manual, Product Datasheet, Safety Datasheet and Certificate of Analysis) correspond to our latest update and should serve for orientational purpose only. We do not guarantee the topicality. We would kindly ask you to make a request for specific requirements, if necessary.

All products are intended for research use only (RUO). Not for human, veterinary or therapeutic use.

Amount: 100 uL
Available: In stock
available

Compare

Add to wishlist

Get an offer

Request delivery time

Ask a technical question

Submit a bulk request

Questions about this Product?
 
Close