Comparison

PRG2 Antibody

Item no. PRS-18-694-100uL
Manufacturer ProSci
Amount 100 uL
Quantity options 100 uL
Category
Type Antibody Primary
Format Liquid
Applications WB
Specific against Human (Homo sapiens), Mouse (Murine, Mus musculus)
Host Rabbit
Isotype IgG
Conjugate/Tag Unconjugated
NCBI PRG2
ECLASS 10.1 32160702
ECLASS 11.0 32160702
UNSPSC 12352203
Shipping Condition Cool pack
Available
Specificity Human,Mouse
Manufacturer - Type
Primary Antibodies
Shipping Temperature
Blue Ice
Storage Conditions
Store at -20˚ C. Avoid freeze / thaw cycles.
Molecular Weight
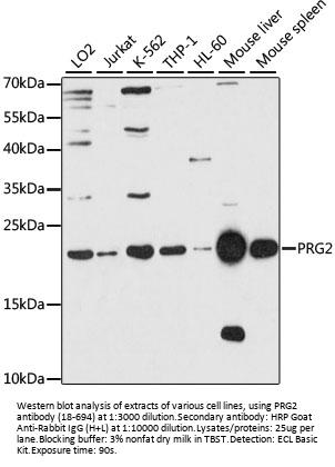
Observed: 25kDa
Manufacturer - Research Area
Other
Background
The protein encoded by this gene is the predominant constituent of the crystalline core of the eosinophil granule. High levels of the proform of this protein are also present in placenta and pregnancy serum, where it exists as a complex with several other proteins including pregnancy-associated plasma protein A (PAPPA), angiotensinogen (AGT), and C3dg. This protein may be involved in antiparasitic defense mechanisms as a cytotoxin and helminthotoxin, and in immune hypersensitivity reactions. The encoded protein contains a peptide that displays potent antimicrobial activity against Gram-positive bacteria, Gram-negative bacteria, and fungi. It is directly implicated in epithelial cell damage, exfoliation, and bronchospasm in allergic diseases. Alternatively spliced transcript variants encoding different isoforms have been found for this gene.
By Type
Other
Modifications
None
Purification
Affinity purification
Positive Control 1
LO2
Positive Control 2
Jurkat
Positive Control 3
K-562
Positive Control 4
THP-1
Positive Control 5
HL-60
Positive Control 6
Mouse liver
Concentration
batch dependent
Buffer
PBS with 0.02% sodium azide, 50% glycerol, pH7.3.
Application Note
WB: 1:500 - 1:2000
Immunogen
Recombinant fusion protein containing a sequence corresponding to amino acids 17-222 of human PRG2 (NP_002719.3).
Clonality
Polyclonal
NCBI Official Name
proteoglycan 2, pro eosinophil major basic protein
NCBI Organism
Homo sapiens
User Note
Optimal dilutions for each application to be determined by the researcher.
Manufacturer - Additional Names
BMPG, MBP, MBP1, proMBP, bone marrow proteoglycan, eosinophil granule major basic protein, eosinophil major basic protein, natural killer cell activator, proteoglycan 2 preproprotein, proteoglycan 2, bone marrow (natural killer cell activator, eosinophil granule major basic protein)

Note: The presented information and documents (Manual, Product Datasheet, Safety Datasheet and Certificate of Analysis) correspond to our latest update and should serve for orientational purpose only. We do not guarantee the topicality. We would kindly ask you to make a request for specific requirements, if necessary.

All products are intended for research use only (RUO). Not for human, veterinary or therapeutic use.

Amount: 100 uL
Available: In stock
available

Compare

Add to wishlist

Get an offer

Request delivery time

Ask a technical question

Submit a bulk request

Questions about this Product?
 
Close