Comparison

MAPKBP1 Antibody

Item no. PRS-18-741-100uL
Manufacturer ProSci
Amount 100 uL
Quantity options 100 uL
Category
Type Antibody Primary
Format Liquid
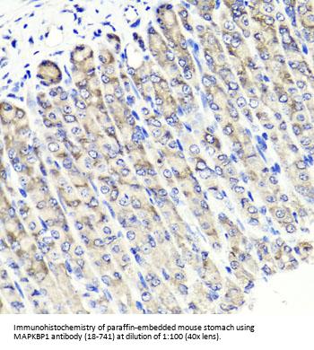
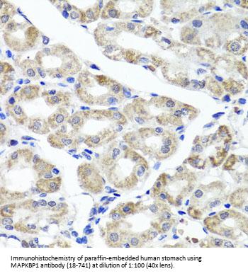
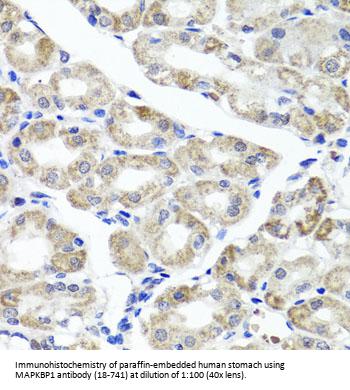
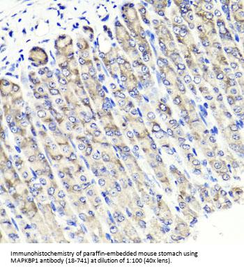
Applications WB, IHC
Specific against Human (Homo sapiens), Mouse (Murine, Mus musculus), Rat (Rattus norvegicus)
Host Rabbit
Isotype IgG
Conjugate/Tag Unconjugated
NCBI MAPKBP1
ECLASS 10.1 32160702
ECLASS 11.0 32160702
UNSPSC 12352203
Alias JNKBP-1,JNKBP1,NPHP2mitogen-activated protein kinase-binding protein 1,JNK-binding protein 1
Shipping Condition Cool pack
Available
Specificity Human,Mouse,Rat
Manufacturer - Type
Primary Antibodies
Shipping Temperature
Blue Ice
Storage Conditions
Store at -20˚ C. Avoid freeze / thaw cycles.
Molecular Weight
Observed: 164kDa
Manufacturer - Research Area
Signal Transduction
Background
This gene encodes a scaffold protein that regulates the JNK (c-Jun N-terminal kinase) and NOD2 (nucleotide-binding oligomerization domain-containing protein 2) signaling pathways. The encoded protein interacts with another related JNK pathway scaffold protein, WDR62, via a conserved dimerization domain, and enhances JNK signaling. This protein may play a role in bacterial immunity by binding to the NOD2 receptor and negatively regulating downstream antibacterial and pro-inflammatory signaling. Mutations in this gene that impair cellular localization of the encoded protein cause a form of nephronophthisis, an autosomal-recessive kidney disorder, in human patients.
By Type
Signal Transduction
Modifications
None
Purification
Affinity purification
Positive Control 1
Mouse liver
Positive Control 2
Rat liver
Concentration
batch dependent
Buffer
PBS with 0.02% sodium azide, 50% glycerol, pH7.3.
Application Note
WB: 1:500 - 1:2000
IHC: 1:50 - 1:100
Immunogen
A synthetic peptide corresponding to a sequence within amino acids 1-100 of human MAPKBP1 (NP_001122080.1).
Clonality
Polyclonal
NCBI Official Name
mitogen-activated protein kinase binding protein 1
NCBI Organism
Homo sapiens
User Note
Optimal dilutions for each application to be determined by the researcher.

Note: The presented information and documents (Manual, Product Datasheet, Safety Datasheet and Certificate of Analysis) correspond to our latest update and should serve for orientational purpose only. We do not guarantee the topicality. We would kindly ask you to make a request for specific requirements, if necessary.

All products are intended for research use only (RUO). Not for human, veterinary or therapeutic use.

Amount: 100 uL
Available: In stock
available

Compare

Add to wishlist

Get an offer

Request delivery time

Ask a technical question

Submit a bulk request

Questions about this Product?
 
Close