Comparison

OPCML Antibody

Item no. PRS-18-808-100uL
Manufacturer ProSci
Amount 100 uL
Quantity options 100 uL
Category
Type Antibody Primary
Format Liquid
Applications WB
Specific against Human (Homo sapiens), Mouse (Murine, Mus musculus), Rat (Rattus norvegicus)
Host Rabbit
Isotype IgG
Conjugate/Tag Unconjugated
NCBI OPCML
ECLASS 10.1 32160702
ECLASS 11.0 32160702
UNSPSC 12352203
Alias Opioid-binding protein/cell adhesion molecule,OBCAM,OPCML,Opioid-binding cell adhesion molecule,IgLON family member 1,OPCML,IGLON1,OBCAM
Shipping Condition Cool pack
Available
Specificity Human,Mouse,Rat
Manufacturer - Type
Primary Antibodies
Shipping Temperature
Blue Ice
Storage Conditions
Store at -20˚ C. Avoid freeze / thaw cycles.
Molecular Weight
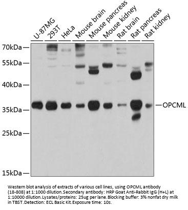
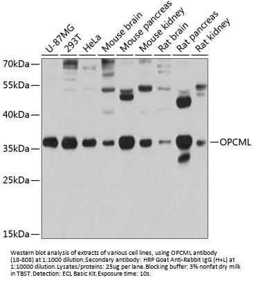
Observed: 38kDa
Manufacturer - Research Area
Cancer, Cell Cycle, Neuroscience, Signal Transduction
Background
This gene encodes a member of the IgLON subfamily in the immunoglobulin protein superfamily of proteins. The encoded preprotein is proteolytically processed to generate the mature protein. This protein is localized in the plasma membrane and may have an accessory role in opioid receptor function. This gene has an ortholog in rat and bovine. The opioid binding-cell adhesion molecule encoded by the rat gene binds opioid alkaloids in the presence of acidic lipids, exhibits selectivity for mu ligands and acts as a GPI-anchored protein. Since the encoded protein is highly conserved in species during evolution, it may have a fundamental role in mammalian systems. Alternative splicing results in multiple transcript variants, at least one of which encodes an isoform that is proteolytically processed.
By Type
Cancer, Cell Cycle, Neuroscience, Signal Transduction
Modifications
None
Purification
Affinity purification
Positive Control 1
U-87MG
Positive Control 2
293T
Positive Control 3
HeLa
Positive Control 4
Mouse brain
Positive Control 5
Mouse pancreas
Positive Control 6
Mouse kidney
Concentration
batch dependent
Buffer
PBS with 0.02% sodium azide, 50% glycerol, pH7.3.
Application Note
WB: 1:1000 - 1:2000
Immunogen
Recombinant fusion protein containing a sequence corresponding to amino acids 246-345 of human OPCML (NP_002536.1).
Clonality
Polyclonal
NCBI Official Name
Opioid-binding protein/cell adhesion molecule
NCBI Organism
Homo sapiens
User Note
Optimal dilutions for each application to be determined by the researcher.

Note: The presented information and documents (Manual, Product Datasheet, Safety Datasheet and Certificate of Analysis) correspond to our latest update and should serve for orientational purpose only. We do not guarantee the topicality. We would kindly ask you to make a request for specific requirements, if necessary.

All products are intended for research use only (RUO). Not for human, veterinary or therapeutic use.

Amount: 100 uL
Available: In stock
available

Compare

Add to wishlist

Get an offer

Request delivery time

Ask a technical question

Submit a bulk request

Questions about this Product?
 
Close