Comparison

SLC16A2 Antibody

Item no. PRS-19-114-100uL
Manufacturer ProSci
Amount 100 uL
Quantity options 100 uL
Category
Type Antibody Primary
Format Liquid
Applications WB
Specific against Human (Homo sapiens), Mouse (Murine, Mus musculus), Rat (Rattus norvegicus)
Host Rabbit
Isotype IgG
Conjugate/Tag Unconjugated
NCBI SLC16A2
ECLASS 10.1 32160702
ECLASS 11.0 32160702
UNSPSC 12352203
Alias AHDS,DXS128,DXS128E,MCT 7,MCT 8,MCT7,MCT8,MRX22,XPCT,monocarboxylate transporter 8,X-linked PEST-containing transporter,monocarboxylate transporter 7,solute carrier family 16,member 2 (thyroid hormone transporter)
Shipping Condition Cool pack
Available
Specificity Human,Mouse,Rat
Manufacturer - Type
Primary Antibodies
Shipping Temperature
Blue Ice
Storage Conditions
Store at -20˚ C. Avoid freeze / thaw cycles.
Molecular Weight
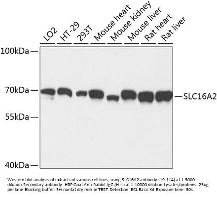
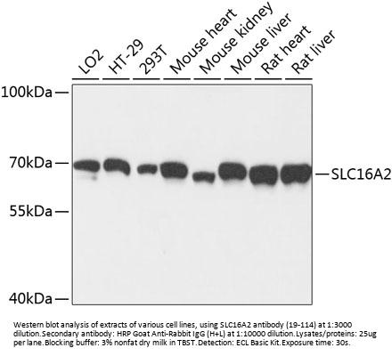
Observed: 70kDa
Manufacturer - Research Area
Cell Cycle, Growth Factors, Neuroscience, Signal Transduction
Background
This gene encodes an integral membrane protein that functions as a transporter of thyroid hormone. The encoded protein facilitates the cellular importation of thyroxine (T4), triiodothyronine (T3), reverse triiodothyronine (rT3) and diidothyronine (T2). This gene is expressed in many tissues and likely plays an important role in the development of the central nervous system. Loss of function mutations in this gene are associated with psychomotor retardation in males while females exhibit no neurological defects and more moderate thyroid-deficient phenotypes. This gene is subject to X-chromosome inactivation. Mutations in this gene are the cause of Allan-Herndon-Dudley syndrome.
By Type
Cell Cycle, Growth Factors, Neuroscience, Signal Transduction
Modifications
None
Purification
Affinity purification
Positive Control 1
LO2
Positive Control 2
HT-29
Positive Control 3
293T
Positive Control 4
Mouse heart
Positive Control 5
Mouse kidney
Positive Control 6
Mouse liver
Concentration
batch dependent
Buffer
PBS with 0.02% sodium azide, 50% glycerol, pH7.3.
Application Note
WB: 1:500 - 1:2000
Immunogen
Recombinant fusion protein containing a sequence corresponding to amino acids 1-100 of human SLC16A2 (NP_006508.2).
Clonality
Polyclonal
NCBI Official Name
solute carrier family 16 member 2
NCBI Organism
Homo sapiens
User Note
Optimal dilutions for each application to be determined by the researcher.

Note: The presented information and documents (Manual, Product Datasheet, Safety Datasheet and Certificate of Analysis) correspond to our latest update and should serve for orientational purpose only. We do not guarantee the topicality. We would kindly ask you to make a request for specific requirements, if necessary.

All products are intended for research use only (RUO). Not for human, veterinary or therapeutic use.

Amount: 100 uL
Available: In stock
available

Compare

Add to wishlist

Get an offer

Request delivery time

Ask a technical question

Submit a bulk request

Questions about this Product?
 
Close