Comparison

PPP1CC Antibody, KO Validated

Item no. PRS-19-252-100uL
Manufacturer ProSci
Amount 100 uL
Quantity options 100 uL
Category
Type Antibody Primary
Format Liquid
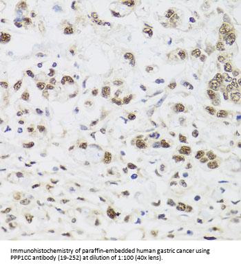
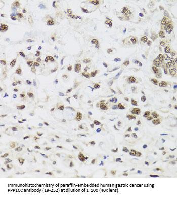
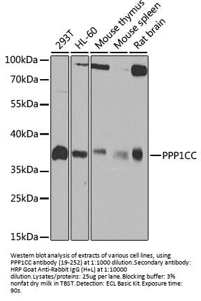
Applications WB, IHC, CHIP
Specific against Human (Homo sapiens), Mouse (Murine, Mus musculus), Rat (Rattus norvegicus)
Host Rabbit
Isotype IgG
Conjugate/Tag Unconjugated
NCBI PPP1CC
ECLASS 10.1 32160702
ECLASS 11.0 32160702
UNSPSC 12352203
Alias Serine/threonine-protein phosphatase PP1-gamma catalytic subunit,PP-1G,Protein phosphatase 1C catalytic subunit,PPP1CC
Shipping Condition Cool pack
Available
Specificity Human,Mouse,Rat
Manufacturer - Type
Primary Antibodies
Shipping Temperature
Blue Ice
Storage Conditions
Store at -20˚ C. Avoid freeze / thaw cycles.
Molecular Weight
Observed: 38kDa
Manufacturer - Research Area
Cancer, Cell Cycle, Neuroscience, Signal Transduction
Background
The protein encoded by this gene belongs to the protein phosphatase family, PP1 subfamily. PP1 is an ubiquitous serine/threonine phosphatase that regulates many cellular processes, including cell division. It is expressed in mammalian cells as three closely related isoforms, alpha, beta/delta and gamma, which have distinct localization patterns. This gene encodes the gamma isozyme. Alternatively spliced transcript variants encoding different isoforms have been found for this gene.
By Type
Cancer, Cell Cycle, Neuroscience, Signal Transduction
Badges
KO
Modifications
None
Purification
Affinity purification
Validation
Antibody is Knockout validated.
Positive Control 1
293T
Positive Control 2
HL-60
Positive Control 3
Mouse thymus
Positive Control 4
Mouse spleen
Positive Control 5
Rat brain
Concentration
batch dependent
Buffer
PBS with 0.02% sodium azide, 50% glycerol, pH7.3.
Application Note
WB: 1:200 - 1:2000
IHC: 1:50 - 1:200
CHIP: 1:50 - 1:200
Immunogen
Recombinant fusion protein containing a sequence corresponding to amino acids 1-323 of human PPP1CC (NP_002701.1).
Clonality
Polyclonal
NCBI Official Name
Serine/threonine-protein phosphatase PP1-gamma catalytic subunit
NCBI Organism
Homo sapiens
User Note
Optimal dilutions for each application to be determined by the researcher.
Validation
Antibody is Knockout validated.

Note: The presented information and documents (Manual, Product Datasheet, Safety Datasheet and Certificate of Analysis) correspond to our latest update and should serve for orientational purpose only. We do not guarantee the topicality. We would kindly ask you to make a request for specific requirements, if necessary.

All products are intended for research use only (RUO). Not for human, veterinary or therapeutic use.

Amount: 100 uL
Available: In stock
available

Compare

Add to wishlist

Get an offer

Request delivery time

Ask a technical question

Submit a bulk request

Questions about this Product?
 
Close