Comparison

CC2D1A Antibody

Item no. PRS-19-472-100uL
Manufacturer ProSci
Amount 100 uL
Quantity options 100 uL
Category
Type Antibody Primary
Format Liquid
Applications WB
Specific against Human (Homo sapiens), Mouse (Murine, Mus musculus), Rat (Rattus norvegicus)
Host Rabbit
Isotype IgG
Conjugate/Tag Unconjugated
NCBI CC2D1A
ECLASS 10.1 32160702
ECLASS 11.0 32160702
UNSPSC 12352203
Shipping Condition Cool pack
Available
Specificity Human,Mouse,Rat
Manufacturer - Type
Primary Antibodies
Shipping Temperature
Blue Ice
Storage Conditions
Store at -20˚ C. Avoid freeze / thaw cycles.
Molecular Weight
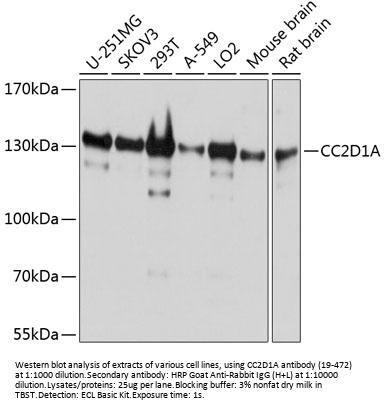
Observed: 131kDa
Manufacturer - Research Area
Transcription
Background
This gene encodes a transcriptional repressor that binds to a conserved 14-bp 5'-repressor element and regulates expression of the 5-hydroxytryptamine (serotonin) receptor 1A gene in neuronal cells. The DNA binding and transcriptional repressor activities of the protein are inhibited by calcium. A mutation in this gene results in nonsyndromic mental retardation-3.
By Type
Transcription
Modifications
None
Purification
Affinity purification
Positive Control 1
U-251MG
Positive Control 2
SKOV3
Positive Control 3
293T
Positive Control 4
A-549
Positive Control 5
LO2
Positive Control 6
Mouse brain
Concentration
batch dependent
Buffer
PBS with 0.02% sodium azide, 50% glycerol, pH7.3.
Application Note
WB: 1:1000 - 1:2000
Immunogen
Recombinant fusion protein containing a sequence corresponding to amino acids 1-150 of human CC2D1A (NP_060191.3).
Clonality
Polyclonal
NCBI Official Name
Coiled-coil and C2 domain-containing protein 1A
NCBI Organism
Homo sapiens
User Note
Optimal dilutions for each application to be determined by the researcher.
Manufacturer - Additional Names
Coiled-coil and C2 domain-containing protein 1A, Akt kinase-interacting protein 1, Five prime repressor element under dual repression-binding protein 1, FRE under dual repression-binding protein 1, Freud-1, Putative NF-kappa-B-activating protein 023N, CC2D1A, AKI1

Note: The presented information and documents (Manual, Product Datasheet, Safety Datasheet and Certificate of Analysis) correspond to our latest update and should serve for orientational purpose only. We do not guarantee the topicality. We would kindly ask you to make a request for specific requirements, if necessary.

All products are intended for research use only (RUO). Not for human, veterinary or therapeutic use.

Amount: 100 uL
Available: In stock
available

Compare

Add to wishlist

Get an offer

Request delivery time

Ask a technical question

Submit a bulk request

Questions about this Product?
 
Close