Comparison

DNAJB1 Antibody, KO Validated

Item no. PRS-19-704-100uL
Manufacturer ProSci
Amount 100 uL
Quantity options 100 uL
Category
Type Antibody Primary
Format Liquid
Applications WB, IF
Specific against Human (Homo sapiens), Mouse (Murine, Mus musculus), Rat (Rattus norvegicus)
Host Rabbit
Isotype IgG
Conjugate/Tag Unconjugated
NCBI DNAJB1
ECLASS 10.1 32160702
ECLASS 11.0 32160702
UNSPSC 12352203
Alias DnaJ homolog subfamily B member 1,DnaJ protein homolog 1,Heat shock 40 kDa protein 1,HSP40,Heat shock protein 40,Human DnaJ protein 1,hDj-1,DNAJB1,DNAJ1,HDJ1,HSPF1
Shipping Condition Cool pack
Available
Specificity Human,Mouse,Rat
Manufacturer - Type
Primary Antibodies
Shipping Temperature
Blue Ice
Storage Conditions
Store at -20˚ C. Avoid freeze / thaw cycles.
Molecular Weight
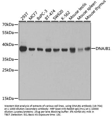
Observed: 39kDa
Manufacturer - Research Area
Signal Transduction
Background
This gene encodes a member of the DnaJ or Hsp40 (heat shock protein 40 kD) family of proteins. DNAJ family members are characterized by a highly conserved amino acid stretch called the 'J-domain' and function as one of the two major classes of molecular chaperones involved in a wide range of cellular events, such as protein folding and oligomeric protein complex assembly. The encoded protein is a molecular chaperone that stimulates the ATPase activity of Hsp70 heat-shock proteins in order to promote protein folding and prevent misfolded protein aggregation. Alternative splicing results in multiple transcript variants.
By Type
Signal Transduction
Badges
KO
Modifications
None
Purification
Affinity purification
Validation
Antibody is Knockout validated.
Positive Control 1
293T
Positive Control 2
MCF-7
Positive Control 3
BxPC-3
Positive Control 4
BT-474
Positive Control 5
SW620
Positive Control 6
K-562
Concentration
batch dependent
Buffer
PBS with 0.02% sodium azide, 50% glycerol, pH7.3.
Application Note
WB: 1:500 - 1:2000
IF: 1:50 - 1:200
Immunogen
Recombinant fusion protein containing a sequence corresponding to amino acids 1-340 of human DNAJB1 (NP_006136.1).
Clonality
Polyclonal
NCBI Official Name
DnaJ homolog subfamily B member 1
NCBI Organism
Homo sapiens
User Note
Optimal dilutions for each application to be determined by the researcher.
Validation
Antibody is Knockout validated.

Note: The presented information and documents (Manual, Product Datasheet, Safety Datasheet and Certificate of Analysis) correspond to our latest update and should serve for orientational purpose only. We do not guarantee the topicality. We would kindly ask you to make a request for specific requirements, if necessary.

All products are intended for research use only (RUO). Not for human, veterinary or therapeutic use.

Amount: 100 uL
Available: In stock
available

Compare

Add to wishlist

Get an offer

Request delivery time

Ask a technical question

Submit a bulk request

Questions about this Product?
 
Close