Comparison

WHSC1L1 Antibody

Item no. PRS-19-743-100uL
Manufacturer ProSci
Amount 100 uL
Quantity options 100 uL
Category
Type Antibody Primary
Format Liquid
Applications WB, IF
Specific against Human (Homo sapiens), Mouse (Murine, Mus musculus)
Host Rabbit
Isotype IgG
Conjugate/Tag Unconjugated
NCBI NSD3
ECLASS 10.1 32160702
ECLASS 11.0 32160702
UNSPSC 12352203
Alias Histone-lysine N-methyltransferase NSD3,Nuclear SET domain-containing protein 3,Protein whistle,WHSC1-like 1 isoform 9 with methyltransferase activity to lysine,Wolf-Hirschhorn syndrome candidate 1-like protein 1,WHSC1-like protein 1,WHSC1L1,NSD3
Shipping Condition Cool pack
Available
Specificity Human,Mouse
Manufacturer - Type
Primary Antibodies
Shipping Temperature
Blue Ice
Storage Conditions
Store at -20˚ C. Avoid freeze / thaw cycles.
Molecular Weight
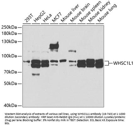
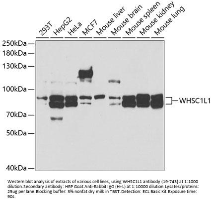
Observed: 80-90kDa
Manufacturer - Research Area
Other
Background
This gene is related to the Wolf-Hirschhorn syndrome candidate-1 gene and encodes a protein with PWWP (proline-tryptophan-tryptophan-proline) domains. This protein methylates histone H3 at lysine residues 4 and 27, which represses gene transcription. Two alternatively spliced variants have been described.
By Type
Other
Modifications
None
Purification
Affinity purification
Positive Control 1
293T
Positive Control 2
HepG2
Positive Control 3
HeLa
Positive Control 4
MCF7
Positive Control 5
Mouse liver
Positive Control 6
Mouse brain
Concentration
batch dependent
Buffer
PBS with 0.02% sodium azide, 50% glycerol, pH7.3.
Application Note
WB: 1:500 - 1:2000
IF: 1:50 - 1:200
Immunogen
Recombinant fusion protein containing a sequence corresponding to amino acids 1-270 of human WHSC1L1 (NP_060248.2).
Clonality
Polyclonal
NCBI Official Name
Histone-lysine N-methyltransferase NSD3
NCBI Organism
Homo sapiens
User Note
Optimal dilutions for each application to be determined by the researcher.

Note: The presented information and documents (Manual, Product Datasheet, Safety Datasheet and Certificate of Analysis) correspond to our latest update and should serve for orientational purpose only. We do not guarantee the topicality. We would kindly ask you to make a request for specific requirements, if necessary.

All products are intended for research use only (RUO). Not for human, veterinary or therapeutic use.

Amount: 100 uL
Available: In stock
available

Compare

Add to wishlist

Get an offer

Request delivery time

Ask a technical question

Submit a bulk request

Questions about this Product?
 
Close