Comparison

FH Antibody

Item no. PRS-19-795-100uL
Manufacturer ProSci
Amount 100 uL
Quantity options 100 uL
Category
Type Antibody Primary
Format Liquid
Applications WB, IF
Specific against Human (Homo sapiens), Mouse (Murine, Mus musculus), Rat (Rattus norvegicus)
Host Rabbit
Isotype IgG
Conjugate/Tag Unconjugated
NCBI FH
ECLASS 10.1 32160702
ECLASS 11.0 32160702
UNSPSC 12352203
Alias fumarate hydratase,HLRCC,LRCC,MCL,MCUL1,fumarase,leiomyomatosis and renal cell cancer,multiple hereditary cutaneous leiomyomata
Shipping Condition Cool pack
Available
Specificity Human,Mouse,Rat
Manufacturer - Type
Primary Antibodies
Shipping Temperature
Blue Ice
Storage Conditions
Store at -20˚ C. Avoid freeze / thaw cycles.
Molecular Weight
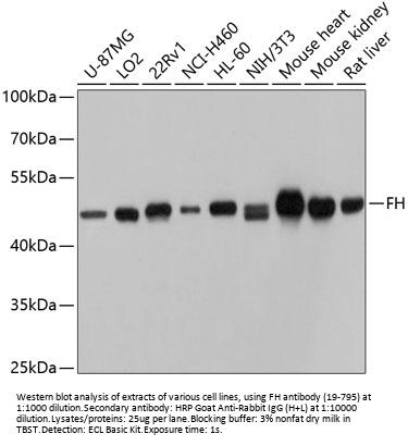
Observed: 50kDa
Manufacturer - Research Area
Cancer, Signal Transduction
Background
The protein encoded by this gene is an enzymatic component of the tricarboxylic acid (TCA) cycle, or Krebs cycle, and catalyzes the formation of L-malate from fumarate. It exists in both a cytosolic form and an N-terminal extended form, differing only in the translation start site used. The N-terminal extended form is targeted to the mitochondrion, where the removal of the extension generates the same form as in the cytoplasm. It is similar to some thermostable class II fumarases and functions as a homotetramer. Mutations in this gene can cause fumarase deficiency and lead to progressive encephalopathy.
By Type
Cancer, Signal Transduction
Modifications
None
Purification
Affinity purification
Positive Control 1
U-87MG
Positive Control 2
LO2
Positive Control 3
22Rv1
Positive Control 4
NCI-H460
Positive Control 5
HL-60
Positive Control 6
NIH/3T3
Concentration
batch dependent
Buffer
PBS with 0.02% sodium azide, 50% glycerol, pH7.3.
Application Note
WB: 1:500 - 1:2000
IF: 1:10 - 1:100
Immunogen
Recombinant fusion protein containing a sequence corresponding to amino acids 1-280 of human FH (NP_000134.2).
Clonality
Polyclonal
NCBI Official Name
fumarate hydratase
NCBI Organism
Homo sapiens
User Note
Optimal dilutions for each application to be determined by the researcher.

Note: The presented information and documents (Manual, Product Datasheet, Safety Datasheet and Certificate of Analysis) correspond to our latest update and should serve for orientational purpose only. We do not guarantee the topicality. We would kindly ask you to make a request for specific requirements, if necessary.

All products are intended for research use only (RUO). Not for human, veterinary or therapeutic use.

Amount: 100 uL
Available: In stock
available

Compare

Add to wishlist

Get an offer

Request delivery time

Ask a technical question

Submit a bulk request

Questions about this Product?
 
Close