Comparison

GRB2 Antibody

Item no. PRS-19-796-100uL
Manufacturer ProSci
Amount 100 uL
Quantity options 100 uL
Category
Type Antibody Primary
Format Liquid
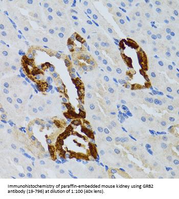
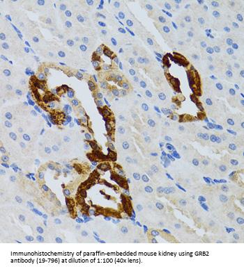
Applications WB, IF, IHC
Specific against Human (Homo sapiens), Mouse (Murine, Mus musculus)
Host Rabbit
Isotype IgG
Conjugate/Tag Unconjugated
NCBI GRB2
ECLASS 10.1 32160702
ECLASS 11.0 32160702
UNSPSC 12352203
Alias GRB2,growth factor receptor-bound protein 2,ASH,ASH protein,EGFRBP-GRB2,Grb3-3,MST084,MSTP084,HT027,abundant SRC homology,epidermal growth factor receptor-binding protein GRB2,growth factor receptor-bound protein 3
Shipping Condition Cool pack
Available
Specificity Human,Mouse
Manufacturer - Type
Primary Antibodies
Shipping Temperature
Blue Ice
Storage Conditions
Store at -20˚ C. Avoid freeze / thaw cycles.
Molecular Weight
Observed: 33kDa
Manufacturer - Research Area
Cancer, Cell Cycle, Immunology, Signal Transduction
Background
The protein encoded by this gene binds the epidermal growth factor receptor and contains one SH2 domain and two SH3 domains. Its two SH3 domains direct complex formation with proline-rich regions of other proteins, and its SH2 domain binds tyrosine phosphorylated sequences. This gene is similar to the Sem5 gene of C.elegans, which is involved in the signal transduction pathway. Two alternatively spliced transcript variants encoding different isoforms have been found for this gene.
By Type
Cancer, Cell Cycle, Immunology, Signal Transduction
Modifications
None
Purification
Affinity purification
Positive Control 1
SW620
Positive Control 2
Raji
Positive Control 3
BT-474
Positive Control 4
HepG2
Positive Control 5
Mouse heart
Concentration
batch dependent
Buffer
PBS with 0.02% sodium azide, 50% glycerol, pH7.3.
Application Note
WB: 1:500 - 1:2000
IHC: 1:50 - 1:200
IF: 1:10 - 1:100
Immunogen
Recombinant fusion protein containing a sequence corresponding to amino acids 1-217 of human GRB2 (NP_002077.1).
Clonality
Polyclonal
NCBI Official Name
growth factor receptor-bound protein 2
NCBI Organism
Homo sapiens
User Note
Optimal dilutions for each application to be determined by the researcher.

Note: The presented information and documents (Manual, Product Datasheet, Safety Datasheet and Certificate of Analysis) correspond to our latest update and should serve for orientational purpose only. We do not guarantee the topicality. We would kindly ask you to make a request for specific requirements, if necessary.

All products are intended for research use only (RUO). Not for human, veterinary or therapeutic use.

Amount: 100 uL
Available: In stock
available

Compare

Add to wishlist

Get an offer

Request delivery time

Ask a technical question

Submit a bulk request

Questions about this Product?
 
Close