Comparison

TFRC Antibody

Item no. PRS-19-906-100uL
Manufacturer ProSci
Amount 100 uL
Quantity options 100 uL
Category
Type Antibody Primary
Format Liquid
Applications WB, IF, IHC
Specific against Human (Homo sapiens), Mouse (Murine, Mus musculus), Rat (Rattus norvegicus)
Host Rabbit
Isotype IgG
Conjugate/Tag Unconjugated
NCBI TFRC
ECLASS 10.1 32160702
ECLASS 11.0 32160702
UNSPSC 12352203
Alias Transferrin receptor protein 1,TR,TfR,TfR1,Trfr,T9,p90,CD71,Transferrin receptor protein 1,serum form,sTfR,TFRC
Shipping Condition Cool pack
Available
Specificity Human,Mouse,Rat
Manufacturer - Type
Primary Antibodies
Shipping Temperature
Blue Ice
Storage Conditions
Store at -20˚ C. Avoid freeze / thaw cycles.
Molecular Weight
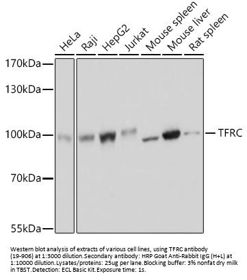
Observed: 100kDa
Manufacturer - Research Area
Cancer, Immunology, Neuroscience, Stem Cell
Background
This gene encodes a cell surface receptor necessary for cellular iron uptake by the process of receptor-mediated endocytosis. This receptor is required for erythropoiesis and neurologic development. Multiple alternatively spliced variants have been identified.
By Type
Cancer, Immunology, Neuroscience, Stem Cell
Modifications
None
Purification
Affinity purification
Positive Control 1
HeLa
Positive Control 2
Raji
Positive Control 3
HepG2
Positive Control 4
Jurkat
Positive Control 5
Mouse spleen
Positive Control 6
Mouse liver
Concentration
batch dependent
Buffer
PBS with 0.02% sodium azide, 50% glycerol, pH7.3.
Application Note
WB: 1:500 - 1:2000
IHC: 1:50 - 1:200
IF: 1:50 - 1:200
Immunogen
Recombinant fusion protein containing a sequence corresponding to amino acids 1-140 of human TFRC (NP_001121620.1).
Clonality
Polyclonal
NCBI Official Name
transferrin receptor
NCBI Organism
Homo sapiens
User Note
Optimal dilutions for each application to be determined by the researcher.

Note: The presented information and documents (Manual, Product Datasheet, Safety Datasheet and Certificate of Analysis) correspond to our latest update and should serve for orientational purpose only. We do not guarantee the topicality. We would kindly ask you to make a request for specific requirements, if necessary.

All products are intended for research use only (RUO). Not for human, veterinary or therapeutic use.

Amount: 100 uL
Available: In stock
available

Compare

Add to wishlist

Get an offer

Request delivery time

Ask a technical question

Submit a bulk request

Questions about this Product?
 
Close