Comparison

HNRNPR Antibody

Item no. PRS-19-917-100uL
Manufacturer ProSci
Amount 100 uL
Quantity options 100 uL
Category
Type Antibody Primary
Format Liquid
Applications WB, IF, IHC
Specific against Human (Homo sapiens), Mouse (Murine, Mus musculus), Rat (Rattus norvegicus)
Host Rabbit
Isotype IgG
Conjugate/Tag Unconjugated
NCBI HNRNPR
ECLASS 10.1 32160702
ECLASS 11.0 32160702
UNSPSC 12352203
Alias HNRNPR,FLJ25714,HNRPR,hnRNP-R,hnRNP R
Shipping Condition Cool pack
Available
Specificity Human,Mouse,Rat
Manufacturer - Type
Primary Antibodies
Shipping Temperature
Blue Ice
Storage Conditions
Store at -20˚ C. Avoid freeze / thaw cycles.
Molecular Weight
Observed: 71kDa
Manufacturer - Research Area
Other
Background
This gene encodes an RNA-binding protein that is a member of the spliceosome C complex, which functions in pre-mRNA processing and transport. The encoded protein also promotes transcription at the c-fos gene. Alternative splicing results in multiple transcript variants. There are pseudogenes for this gene on chromosomes 4, 11, and 10.
By Type
Other
Modifications
None
Purification
Affinity purification
Positive Control 1
SKOV3
Positive Control 2
LO2
Positive Control 3
HL-60
Positive Control 4
Mouse brain
Positive Control 5
Mouse spleen
Positive Control 6
Rat brain
Concentration
batch dependent
Buffer
PBS with 0.02% sodium azide, 50% glycerol, pH7.3.
Application Note
WB: 1:500 - 1:2000
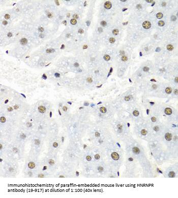
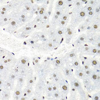
IHC: 1:100 - 1:200
IF: 1:50 - 1:200
Immunogen
A synthetic peptide corresponding to a sequence within amino acids 500 to the C-terminus of human HNRNPR (NP_005817.1).
Clonality
Polyclonal
NCBI Official Name
heterogeneous nuclear ribonucleoprotein R
NCBI Organism
Homo sapiens
User Note
Optimal dilutions for each application to be determined by the researcher.

Note: The presented information and documents (Manual, Product Datasheet, Safety Datasheet and Certificate of Analysis) correspond to our latest update and should serve for orientational purpose only. We do not guarantee the topicality. We would kindly ask you to make a request for specific requirements, if necessary.

All products are intended for research use only (RUO). Not for human, veterinary or therapeutic use.

Amount: 100 uL
Available: In stock
available

Compare

Add to wishlist

Get an offer

Request delivery time

Ask a technical question

Submit a bulk request

Questions about this Product?
 
Close