Comparison

EIF2C2 Antibody

Item no. PRS-19-980-100uL
Manufacturer ProSci
Amount 100 uL
Quantity options 100 uL
Category
Type Antibody Primary
Format Liquid
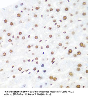
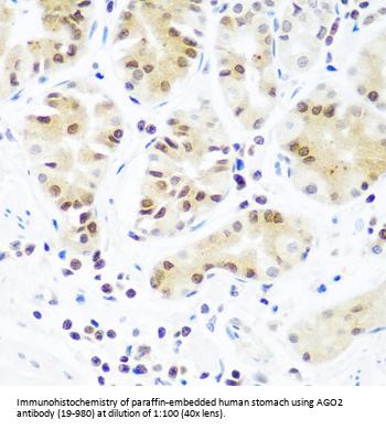
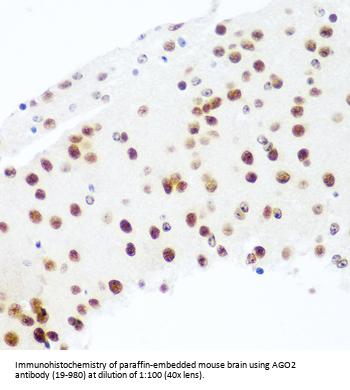
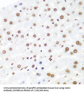
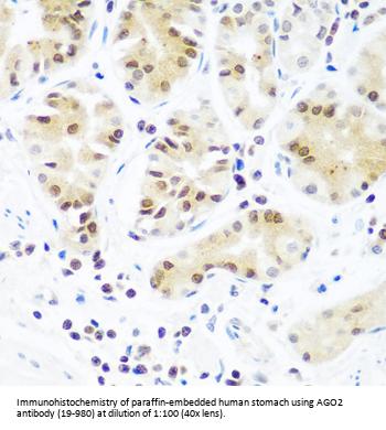
Applications WB, IHC
Specific against Human (Homo sapiens), Mouse (Murine, Mus musculus), Rat (Rattus norvegicus)
Host Rabbit
Isotype IgG
Conjugate/Tag Unconjugated
NCBI AGO2
ECLASS 10.1 32160702
ECLASS 11.0 32160702
UNSPSC 12352203
Shipping Condition Cool pack
Available
Specificity Human,Mouse,Rat
Manufacturer - Type
Primary Antibodies
Shipping Temperature
Blue Ice
Storage Conditions
Store at -20˚ C. Avoid freeze / thaw cycles.
Molecular Weight
Observed: 97kDa
Manufacturer - Research Area
Other
Background
This gene encodes a member of the Argonaute family of proteins which play a role in RNA interference. The encoded protein is highly basic, and contains a PAZ domain and a PIWI domain. It may interact with dicer1 and play a role in short-interfering-RNA-mediated gene silencing. Multiple transcript variants encoding different isoforms have been found for this gene.
By Type
Other
Modifications
None
Purification
Affinity purification
Positive Control 1
Mouse heart
Positive Control 2
Mouse brain
Positive Control 3
Rat brain
Positive Control 4
Rat heart
Concentration
batch dependent
Buffer
PBS with 0.02% sodium azide, 50% glycerol, pH7.3.
Application Note
WB: 1:500 - 1:1000
IHC: 1:50 - 1:200
Immunogen
A synthetic peptide corresponding to a sequence within amino acids 1-100 of human EIF2C2 (NP_036286.2).
Clonality
Polyclonal
NCBI Official Name
argonaute RISC catalytic component 2
NCBI Organism
Homo sapiens
User Note
Optimal dilutions for each application to be determined by the researcher.
Manufacturer - Additional Names
CASC7, EIF2C2, LINC0098PPD, Q1protein argonaute-2, PAZ Piwi domain protein, argonaute 2, RISC catalytic component, cancer susceptibility candidate 7, cancer susceptibility candidate 7 (non-protein coding), eukaryotic translation initiation factor 2C, 2, long intergenic non-protein coding RNA 98protein slicer

Note: The presented information and documents (Manual, Product Datasheet, Safety Datasheet and Certificate of Analysis) correspond to our latest update and should serve for orientational purpose only. We do not guarantee the topicality. We would kindly ask you to make a request for specific requirements, if necessary.

All products are intended for research use only (RUO). Not for human, veterinary or therapeutic use.

Amount: 100 uL
Available: In stock
available

Compare

Add to wishlist

Get an offer

Request delivery time

Ask a technical question

Submit a bulk request

Questions about this Product?
 
Close