Comparison

PRPF8 Antibody

Item no. PRS-19-988-100uL
Manufacturer ProSci
Amount 100 uL
Quantity options 100 uL
Category
Type Antibody Primary
Format Liquid
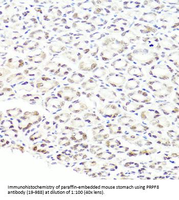
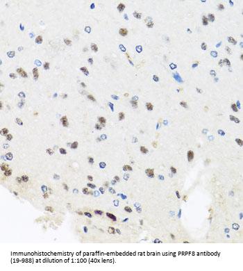
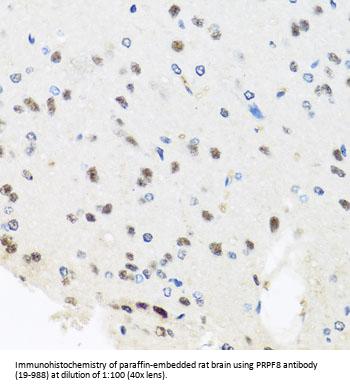
Applications WB, IF, IP, IHC
Specific against Human (Homo sapiens), Mouse (Murine, Mus musculus), Rat (Rattus norvegicus)
Host Rabbit
Isotype IgG
Conjugate/Tag Unconjugated
NCBI PRPF8
ECLASS 10.1 32160702
ECLASS 11.0 32160702
UNSPSC 12352203
Shipping Condition Cool pack
Available
Specificity Human,Mouse,Rat
Manufacturer - Type
Primary Antibodies
Shipping Temperature
Blue Ice
Storage Conditions
Store at -20˚ C. Avoid freeze / thaw cycles.
Molecular Weight
Observed: 274kDa
Manufacturer - Research Area
Neuroscience
Background
Pre-mRNA splicing occurs in 2 sequential transesterification steps. The protein encoded by this gene is a component of both U2- and U12-dependent spliceosomes, and found to be essential for the catalytic step II in pre-mRNA splicing process. It contains several WD repeats, which function in protein-protein interactions. This protein has a sequence similarity to yeast Prp8 protein. This gene is a candidate gene for autosomal dominant retinitis pigmentosa.
By Type
Neuroscience
Modifications
None
Purification
Affinity purification
Positive Control 1
HeLa
Positive Control 2
Jurkat
Concentration
batch dependent
Buffer
PBS with 0.02% sodium azide, 50% glycerol, pH7.3.
Application Note
WB: 1:500 - 1:1000
IHC: 1:50 - 1:100
IF: 1:50 - 1:100
IP: 1:50 - 1:100
Immunogen
A synthetic peptide corresponding to a sequence within amino acids 1-100 of human PRPF8 (NP_006436.3).
Clonality
Polyclonal
NCBI Official Name
pre-mRNA processing factor 8
NCBI Organism
Homo sapiens
User Note
Optimal dilutions for each application to be determined by the researcher.
Manufacturer - Additional Names
HPRP8, PRP8, PRPC8, RP13, SNRNP22pre-mRNA-processing-splicing factor 8, 220 kDa U5 snRNP-specific protein, PRP8 homolog, PRP8 pre-mRNA processing factor 8 homolog, U5 snRNP-specific protein (220 kD), ortholog of S. cerevisiae Prp8p, apoptosis-regulated protein 1, apoptosis-regulated protein 2, p22precursor mRNA processing protein, splicing factor Prp8

Note: The presented information and documents (Manual, Product Datasheet, Safety Datasheet and Certificate of Analysis) correspond to our latest update and should serve for orientational purpose only. We do not guarantee the topicality. We would kindly ask you to make a request for specific requirements, if necessary.

All products are intended for research use only (RUO). Not for human, veterinary or therapeutic use.

Amount: 100 uL
Available: In stock
available

Compare

Add to wishlist

Get an offer

Request delivery time

Ask a technical question

Submit a bulk request

Questions about this Product?
 
Close