Comparison

DHRS9 Antibody

Item no. PRS-22-128-100uL
Manufacturer ProSci
Amount 100 uL
Quantity options 100 uL
Category
Type Antibody Primary
Format Liquid
Applications WB, IF, IHC
Specific against Human (Homo sapiens), Mouse (Murine, Mus musculus), Rat (Rattus norvegicus)
Host Rabbit
Isotype IgG
Conjugate/Tag Unconjugated
NCBI DHRS9
ECLASS 10.1 32160702
ECLASS 11.0 32160702
UNSPSC 12352203
Shipping Condition Cool pack
Available
Specificity Human,Mouse,Rat
Manufacturer - Type
Primary Antibodies
Shipping Temperature
Blue Ice
Storage Conditions
Store at -20˚ C. Avoid freeze / thaw cycles.
Molecular Weight
Observed: 35kDa
Manufacturer - Research Area
Cancer, Cell Cycle, Signal Transduction
Background
This gene encodes a member of the short-chain dehydrogenases/reductases (SDR) family. The encoded protein has been identified as a moonlighting protein based on its ability to perform mechanistically distinct functions. This protein demonstrates oxidoreductase activity toward hydroxysteroids and is able to convert 3-alpha-tetrahydroprogesterone to dihydroxyprogesterone and 3-alpha-androstanediol to dihydroxyprogesterone in the cytoplasm, and may additionally function as a transcriptional repressor in the nucleus. Alternative splicing results in multiple transcript variants.
By Type
Cancer, Cell Cycle, Signal Transduction
Modifications
None
Purification
Affinity purification
Positive Control 1
THP-1
Positive Control 2
Mouse trachea
Positive Control 3
HT-29
Positive Control 4
Mouse pancreas
Positive Control 5
Rat trachea
Concentration
batch dependent
Buffer
PBS with 0.02% sodium azide, 50% glycerol, pH7.3.
Application Note
WB: 1:500 - 1:2000
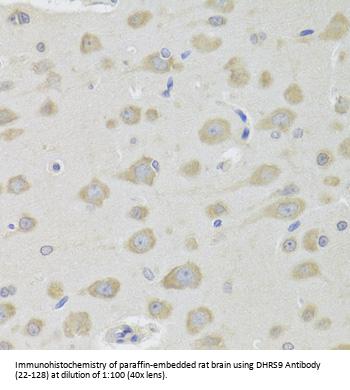
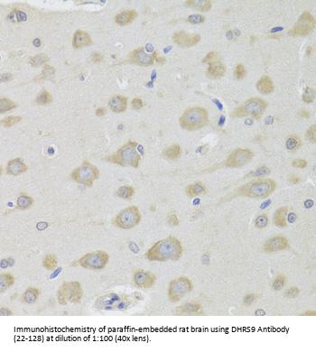
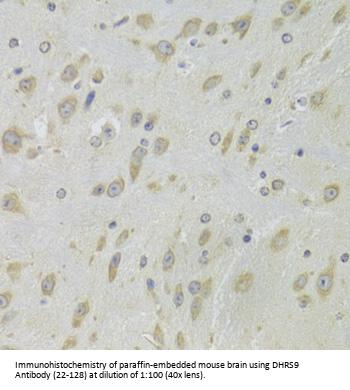
IHC: 1:50 - 1:200
IF: 1:10 - 1:100
Immunogen
Recombinant fusion protein containing a sequence corresponding to amino acids 18-319 of human DHRS9 (NP_001135743.1).
Clonality
Polyclonal
NCBI Official Name
dehydrogenase/reductase 9
NCBI Organism
Homo sapiens
User Note
Optimal dilutions for each application to be determined by the researcher.
Manufacturer - Additional Names
3-alpha-HSD, 3ALPHA-HSD, RDH-E2, RDH-TBE, RDH15, RDHL, RDHTBE, RETSDR8, SDR9C4, dehydrogenase/reductase SDR family member 9, 3-alpha hydroxysteroid dehydrogenase, NADP-dependent retinol dehydrogenase/reductase, dehydrogenase/reductase (SDR family) member 9, retinol dehydrogenase 15, retinol dehydrogenase homolog, short chain dehydrogenase/reductase family 9C member 4, short-chain dehydrogenase/reductase retSDR8, tracheobronchial epithelial cell-specific retinol dehydrogenase

Note: The presented information and documents (Manual, Product Datasheet, Safety Datasheet and Certificate of Analysis) correspond to our latest update and should serve for orientational purpose only. We do not guarantee the topicality. We would kindly ask you to make a request for specific requirements, if necessary.

All products are intended for research use only (RUO). Not for human, veterinary or therapeutic use.

Amount: 100 uL
Available: In stock
available

Compare

Add to wishlist

Get an offer

Request delivery time

Ask a technical question

Submit a bulk request

Questions about this Product?
 
Close