Comparison

SKAP2 Antibody

Item no. PRS-22-220-100uL
Manufacturer ProSci
Amount 100 uL
Quantity options 100 uL
Category
Type Antibody Primary
Format Liquid
Applications WB, IF, IHC
Specific against Human (Homo sapiens), Mouse (Murine, Mus musculus), Rat (Rattus norvegicus)
Host Rabbit
Isotype IgG
Conjugate/Tag Unconjugated
NCBI SKAP2
ECLASS 10.1 32160702
ECLASS 11.0 32160702
UNSPSC 12352203
Shipping Condition Cool pack
Available
Specificity Human,Mouse,Rat
Manufacturer - Type
Primary Antibodies
Shipping Temperature
Blue Ice
Storage Conditions
Store at -20˚ C. Avoid freeze / thaw cycles.
Molecular Weight
Observed: 50kDa
Manufacturer - Research Area
Signal Transduction
Background
The protein encoded by this gene shares homology with Src kinase-associated phosphoprotein 1, and is a substrate of Src family kinases. It is an adaptor protein that is thought to play an essential role in the Src signaling pathway, and in regulating proper activation of the immune system. This protein contains an amino terminal coiled-coil domain for self-dimerization, a plecskstrin homology (PH) domain required for interactions with lipids at the membrane, and a Src homology (SH3) domain at the carboxy terminus. Some reports indicate that this protein inhibits actin polymerization through interactions with actin assembly factors, and might negatively regulate the invasiveness of tumors by modulating actin assembly. Alternative splicing results in multiple transcript variants encoding different isoforms.
By Type
Signal Transduction
Modifications
None
Purification
Affinity purification
Positive Control 1
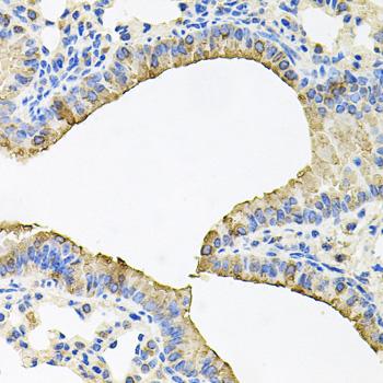
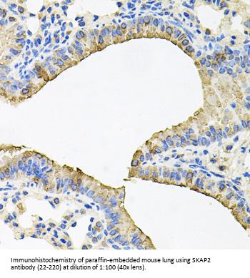
Mouse lung
Concentration
batch dependent
Buffer
PBS with 0.02% sodium azide, 50% glycerol, pH7.3.
Application Note
WB: 1:500 - 1:2000
IHC: 1:50 - 1:100
IF: 1:50 - 1:100
Immunogen
Recombinant fusion protein containing a sequence corresponding to amino acids 1-120 of human SKAP2 (NP_003921.2).
Clonality
Polyclonal
NCBI Official Name
src kinase associated phosphoprotein 2
NCBI Organism
Homo sapiens
User Note
Optimal dilutions for each application to be determined by the researcher.
Manufacturer - Additional Names
SCAP2, src family associated phosphoprotein 2, MGC10411, MGC33304, PRAP, RA70, SAPS, SCAP2, SKAP-HOM, SKAP55R, Fyn-associated phosphoprotein SKAP55 homologue, Pyk2/RAFTK-associated protein, src kinase-associated phosphoprotein of 55-related protein, src-associated adaptor protein

Note: The presented information and documents (Manual, Product Datasheet, Safety Datasheet and Certificate of Analysis) correspond to our latest update and should serve for orientational purpose only. We do not guarantee the topicality. We would kindly ask you to make a request for specific requirements, if necessary.

All products are intended for research use only (RUO). Not for human, veterinary or therapeutic use.

Amount: 100 uL
Available: In stock
available

Compare

Add to wishlist

Get an offer

Request delivery time

Ask a technical question

Submit a bulk request

Questions about this Product?
 
Close