Comparison

CAPNS1 Antibody

Item no. PRS-22-296-100uL
Manufacturer ProSci
Amount 100 uL
Quantity options 100 uL
Category
Type Antibody Primary
Format Liquid
Applications WB, IF, IHC
Specific against Human (Homo sapiens), Mouse (Murine, Mus musculus), Rat (Rattus norvegicus)
Host Rabbit
Isotype IgG
Conjugate/Tag Unconjugated
NCBI CAPNS1
ECLASS 10.1 32160702
ECLASS 11.0 32160702
UNSPSC 12352203
Shipping Condition Cool pack
Available
Specificity Human,Mouse,Rat
Manufacturer - Type
Primary Antibodies
Shipping Temperature
Blue Ice
Storage Conditions
Store at -20˚ C. Avoid freeze / thaw cycles.
Molecular Weight
Observed: 28kDa
Manufacturer - Research Area
Immunology, Neuroscience, Signal Transduction
Background
This gene is a member of the calpain small subunit family. Calpains are calcium-dependent cysteine proteinases that are widely distributed in mammalian cells. Calpains operate as heterodimers, comprising a specific large catalytic subunit (calpain 1 subunit in Calpain I, and calpain 2 subunit in Calpain II), and a common small regulatory subunit encoded by this gene. This encoded protein is essential for the stability and function of both calpain heterodimers, whose proteolytic activities influence various cellular functions including apoptosis, proliferation, migration, adhesion, and autophagy. Calpains have been implicated in neurodegenerative processes, such as myotonic dystrophy. A pseudogene of this gene has been defined on chromosome 1. Alternative splicing results in multiple transcript variants.
By Type
Immunology, Neuroscience, Signal Transduction
Modifications
None
Purification
Affinity purification
Positive Control 1
BT-474
Positive Control 2
U-251MG
Positive Control 3
SKOV3
Positive Control 4
Mouse lung
Positive Control 5
Mouse heart
Positive Control 6
Mouse spleen
Concentration
batch dependent
Buffer
PBS with 0.02% sodium azide, 50% glycerol, pH7.3.
Application Note
WB: 1:500 - 1:2000
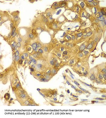
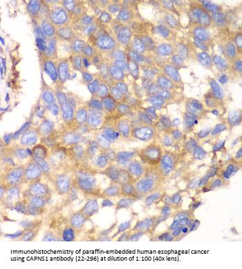
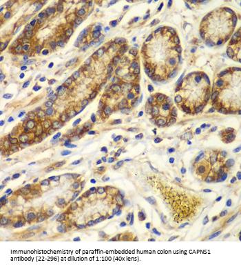
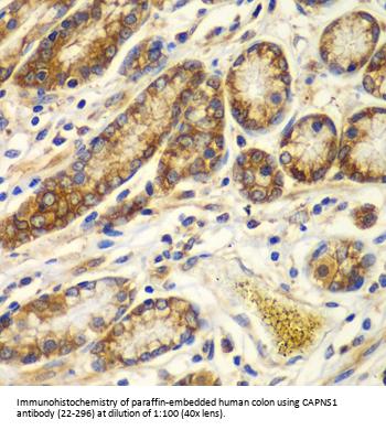
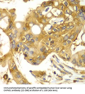
IHC: 1:50 - 1:100
IF: 1:50 - 1:100
Immunogen
Recombinant fusion protein containing a sequence corresponding to amino acids 69-268 of human CAPNS1 (NP_001740.1).
Clonality
Polyclonal
NCBI Official Name
calpain small subunit 1
NCBI Organism
Homo sapiens
User Note
Optimal dilutions for each application to be determined by the researcher.
Manufacturer - Additional Names
CALPAIN4, CANP, CANPS, CAPN4, CDPS, CSS1, calpain small subunit 1, CANP small subunit, calcium-activated neutral proteinase small subunit, calcium-dependent protease small subunit 1, calcium-dependent protease, small subunit, calpain 4, small subunit (30K), calpain regulatory subunit, calpain, small polypeptide, epididymis secretory sperm binding protein

Note: The presented information and documents (Manual, Product Datasheet, Safety Datasheet and Certificate of Analysis) correspond to our latest update and should serve for orientational purpose only. We do not guarantee the topicality. We would kindly ask you to make a request for specific requirements, if necessary.

All products are intended for research use only (RUO). Not for human, veterinary or therapeutic use.

Amount: 100 uL
Available: In stock
available

Compare

Add to wishlist

Get an offer

Request delivery time

Ask a technical question

Submit a bulk request

Questions about this Product?
 
Close