Comparison

CSRP3 Antibody

Item no. PRS-22-320-100uL
Manufacturer ProSci
Amount 100 uL
Quantity options 100 uL
Category
Type Antibody Primary
Format Liquid
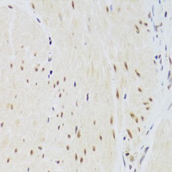
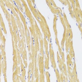
Applications WB, IHC
Specific against Human (Homo sapiens), Mouse (Murine, Mus musculus), Rat (Rattus norvegicus)
Host Rabbit
Isotype IgG
Conjugate/Tag Unconjugated
NCBI CSRP3
ECLASS 10.1 32160702
ECLASS 11.0 32160702
UNSPSC 12352203
Alias CSRP3,CLP,MLP,CRP3,LMO4,CMD1M,CMH12
Shipping Condition Cool pack
Available
Specificity Human,Mouse,Rat
Manufacturer - Type
Primary Antibodies
Shipping Temperature
Blue Ice
Storage Conditions
Store at -20˚ C. Avoid freeze / thaw cycles.
Molecular Weight
Observed: 25kDa
Manufacturer - Research Area
Transcription
Background
This gene encodes a member of the CSRP family of LIM domain proteins, which may be involved in regulatory processes important for development and cellular differentiation. The LIM/double zinc-finger motif found in this protein is found in a group of proteins with critical functions in gene regulation, cell growth, and somatic differentiation. Mutations in this gene are thought to cause heritable forms of hypertrophic cardiomyopathy (HCM) and dilated cardiomyopathy (DCM) in humans. Alternatively spliced transcript variants with different 5' UTR, but encoding the same protein, have been found for this gene.
By Type
Transcription
Modifications
None
Purification
Affinity purification
Positive Control 1
Mouse skeletal muscle
Positive Control 2
Rat liver
Positive Control 3
Rat heart
Concentration
batch dependent
Buffer
PBS with 0.02% sodium azide, 50% glycerol, pH7.3.
Application Note
WB: 1:500 - 1:2000
IHC: 1:50 - 1:200
Immunogen
Recombinant fusion protein containing a sequence corresponding to amino acids 1-194 of human CSRP3 (NP_003467.1).
Clonality
Polyclonal
NCBI Official Name
cysteine and glycine-rich protein 3 (cardiac LIM protein)
NCBI Organism
Homo sapiens
User Note
Optimal dilutions for each application to be determined by the researcher.

Note: The presented information and documents (Manual, Product Datasheet, Safety Datasheet and Certificate of Analysis) correspond to our latest update and should serve for orientational purpose only. We do not guarantee the topicality. We would kindly ask you to make a request for specific requirements, if necessary.

All products are intended for research use only (RUO). Not for human, veterinary or therapeutic use.

Amount: 100 uL
Available: In stock
available

Compare

Add to wishlist

Get an offer

Request delivery time

Ask a technical question

Submit a bulk request

Questions about this Product?
 
Close