Comparison

RPS2 Antibody

Item no. PRS-22-442-100uL
Manufacturer ProSci
Amount 100 uL
Quantity options 100 uL
Category
Type Antibody Primary
Format Liquid
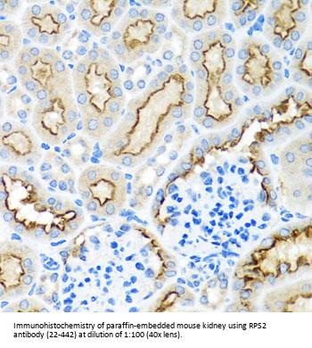
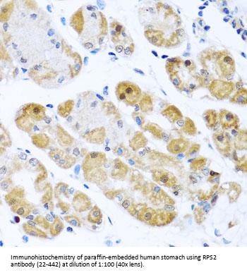
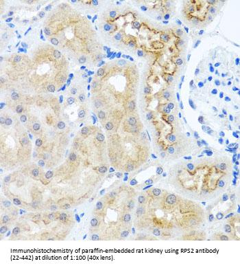
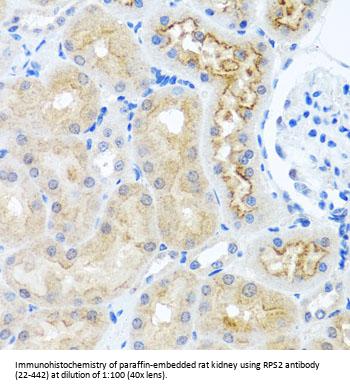
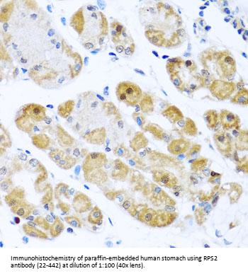
Applications WB, IHC
Specific against Human (Homo sapiens), Mouse (Murine, Mus musculus), Rat (Rattus norvegicus)
Host Rabbit
Isotype IgG
Conjugate/Tag Unconjugated
NCBI RPS2
ECLASS 10.1 32160702
ECLASS 11.0 32160702
UNSPSC 12352203
Alias RPS2,40S ribosomal protein S4,40S ribosomal protein S2,LLREP3,OK/KNS-cl.6,Ribosomal protein S2,S2,RPS4,Protein LLRep3
Shipping Condition Cool pack
Available
Specificity Human,Mouse,Rat
Manufacturer - Type
Primary Antibodies
Shipping Temperature
Blue Ice
Storage Conditions
Store at -20˚ C. Avoid freeze / thaw cycles.
Molecular Weight
Observed: 38kDa
Manufacturer - Research Area
Immunology, Innate Immunity
Background
Ribosomes, the organelles that catalyze protein synthesis, consist of a small 40S subunit and a large 60S subunit. Together these subunits are composed of 4 RNA species and approximately 80 structurally distinct proteins. This gene encodes a ribosomal protein that is a component of the 40S subunit. The protein belongs to the S5P family of ribosomal proteins. It is located in the cytoplasm. This gene shares sequence similarity with mouse LLRep3. It is co-transcribed with the small nucleolar RNA gene U64, which is located in its third intron. As is typical for genes encoding ribosomal proteins, there are multiple processed pseudogenes of this gene dispersed through the genome.
By Type
Immunology, Innate Immunity
Modifications
None
Purification
Affinity purification
Positive Control 1
U-87MG
Positive Control 2
U-251MG
Positive Control 3
MCF7
Positive Control 4
HeLa
Concentration
batch dependent
Buffer
PBS with 0.02% sodium azide, 50% glycerol, pH7.3.
Application Note
WB: 1:500 - 1:2000
IHC: 1:50 - 1:200
Immunogen
Recombinant fusion protein containing a sequence corresponding to amino acids 1-293 of human RPS2 (NP_002943.2).
Clonality
Polyclonal
NCBI Official Name
ribosomal protein S2
NCBI Organism
Homo sapiens
User Note
Optimal dilutions for each application to be determined by the researcher.

Note: The presented information and documents (Manual, Product Datasheet, Safety Datasheet and Certificate of Analysis) correspond to our latest update and should serve for orientational purpose only. We do not guarantee the topicality. We would kindly ask you to make a request for specific requirements, if necessary.

All products are intended for research use only (RUO). Not for human, veterinary or therapeutic use.

Amount: 100 uL
Available: In stock
available

Compare

Add to wishlist

Get an offer

Request delivery time

Ask a technical question

Submit a bulk request

Questions about this Product?
 
Close