Comparison

CD5 Antibody

Item no. PRS-22-528-100uL
Manufacturer ProSci
Amount 100 uL
Quantity options 100 uL
Category
Type Antibody Primary
Format Liquid
Applications WB
Specific against Human (Homo sapiens), Mouse (Murine, Mus musculus), Rat (Rattus norvegicus)
Host Rabbit
Isotype IgG
Conjugate/Tag Unconjugated
NCBI CD5
ECLASS 10.1 32160702
ECLASS 11.0 32160702
UNSPSC 12352203
Alias T-cell surface glycoprotein CD5,Lymphocyte antigen T1/Leu-1,CD5,CD5,LEU1
Shipping Condition Cool pack
Available
Specificity Human,Mouse,Rat
Manufacturer - Type
Primary Antibodies
Shipping Temperature
Blue Ice
Storage Conditions
Store at -20˚ C. Avoid freeze / thaw cycles.
Molecular Weight
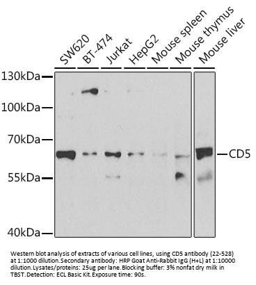
Observed: 60kDa
Manufacturer - Research Area
Apoptosis, Cell Cycle, Immunology, Stem Cell
Background
This gene encodes a member of the scavenger receptor cysteine-rich (SRCR) superfamily. Members of this family are secreted or membrane-anchored proteins mainly found in cells associated with the immune system. This protein is a type-I transmembrane glycoprotein found on the surface of thymocytes, T lymphocytes and a subset of B lymphocytes. The encoded protein contains three SRCR domains and may act as a receptor to regulate T-cell proliferation. Alternative splicing results in multiple transcript variants encoding different isoforms.
By Type
Apoptosis, Cell Cycle, Immunology, Stem Cell
Modifications
None
Purification
Affinity purification
Positive Control 1
SW620
Positive Control 2
BT-474
Positive Control 3
Jurkat
Positive Control 4
HepG2
Positive Control 5
Mouse spleen
Positive Control 6
Mouse thymus
Concentration
batch dependent
Buffer
PBS with 0.02% sodium azide, 50% glycerol, pH7.3.
Application Note
WB: 1:500 - 1:2000
Immunogen
Recombinant fusion protein containing a sequence corresponding to amino acids 25-240 of human CD5 (NP_055022.2).
Clonality
Polyclonal
NCBI Official Name
CD5 molecule
NCBI Organism
Homo sapiens
User Note
Optimal dilutions for each application to be determined by the researcher.

Note: The presented information and documents (Manual, Product Datasheet, Safety Datasheet and Certificate of Analysis) correspond to our latest update and should serve for orientational purpose only. We do not guarantee the topicality. We would kindly ask you to make a request for specific requirements, if necessary.

All products are intended for research use only (RUO). Not for human, veterinary or therapeutic use.

Amount: 100 uL
Available: In stock
available

Compare

Add to wishlist

Get an offer

Request delivery time

Ask a technical question

Submit a bulk request

Questions about this Product?
 
Close