Comparison

FABP6 Antibody

Item no. PRS-22-544-100uL
Manufacturer ProSci
Amount 100 uL
Quantity options 100 uL
Category
Type Antibody Primary
Format Liquid
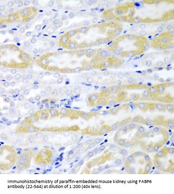
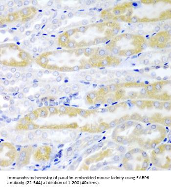
Applications WB, IHC
Specific against Human (Homo sapiens), Mouse (Murine, Mus musculus)
Host Rabbit
Isotype IgG
Conjugate/Tag Unconjugated
NCBI FABP6
ECLASS 10.1 32160702
ECLASS 11.0 32160702
UNSPSC 12352203
Alias I-15P,I-BABP,I-BALB,I-BAP,ILBP,ILBP3,ILLBP,gastrotropin,GT,fatty acid binding protein 6,ileal,ileal bile acid binding protein,ileal lipid-binding protein,illeal lipid-binding protein,intestinal 15 kDa protein
Shipping Condition Cool pack
Available
Specificity Human,Mouse
Manufacturer - Type
Primary Antibodies
Shipping Temperature
Blue Ice
Storage Conditions
Store at -20˚ C. Avoid freeze / thaw cycles.
Molecular Weight
Observed: 18kDa
Manufacturer - Research Area
Cancer, Signal Transduction
Background
This gene encodes the ileal fatty acid binding protein. Fatty acid binding proteins are a family of small, highly conserved, cytoplasmic proteins that bind long-chain fatty acids and other hydrophobic ligands. FABP6 and FABP1 (the liver fatty acid binding protein) are also able to bind bile acids. It is thought that FABPs roles include fatty acid uptake, transport, and metabolism. Transcript variants generated by alternate transcription promoters and/or alternate splicing have been found for this gene.
By Type
Cancer, Signal Transduction
Modifications
None
Purification
Affinity purification
Positive Control 1
MCF7
Positive Control 2
A375
Concentration
batch dependent
Buffer
PBS with 0.02% sodium azide, 50% glycerol, pH7.3.
Application Note
WB: 1:500 - 1:2000
IHC: 1:50 - 1:200
Immunogen
Recombinant fusion protein containing a sequence corresponding to amino acids 1-128 of human FABP6 (NP_001436.1).
Clonality
Polyclonal
NCBI Official Name
fatty acid binding protein 6
NCBI Organism
Homo sapiens
User Note
Optimal dilutions for each application to be determined by the researcher.

Note: The presented information and documents (Manual, Product Datasheet, Safety Datasheet and Certificate of Analysis) correspond to our latest update and should serve for orientational purpose only. We do not guarantee the topicality. We would kindly ask you to make a request for specific requirements, if necessary.

All products are intended for research use only (RUO). Not for human, veterinary or therapeutic use.

Amount: 100 uL
Available: In stock
available

Compare

Add to wishlist

Get an offer

Request delivery time

Ask a technical question

Submit a bulk request

Questions about this Product?
 
Close