Comparison

RAD51C Antibody

Item no. PRS-22-588-100uL
Manufacturer ProSci
Amount 100 uL
Quantity options 100 uL
Category
Type Antibody Primary
Format Liquid
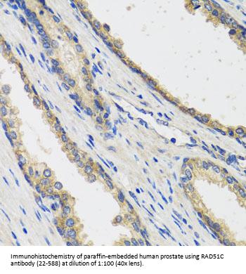
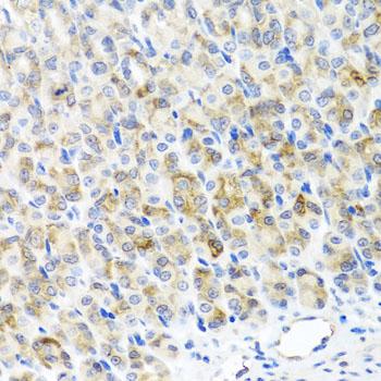
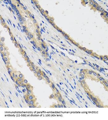
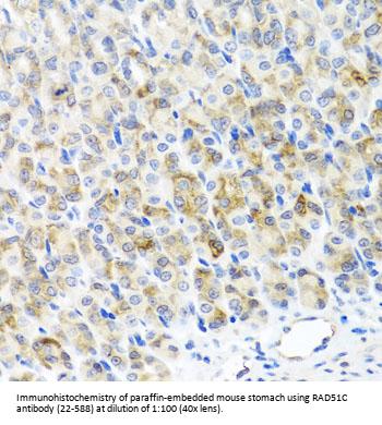
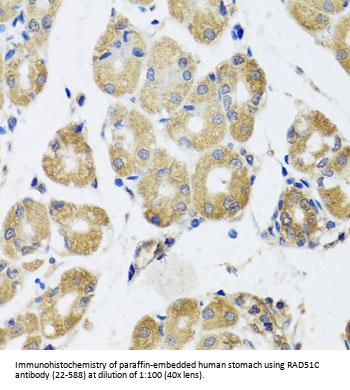
Applications WB, IHC
Specific against Human (Homo sapiens), Mouse (Murine, Mus musculus)
Host Rabbit
Isotype IgG
Conjugate/Tag Unconjugated
NCBI RAD51C
ECLASS 10.1 32160702
ECLASS 11.0 32160702
UNSPSC 12352203
Alias RAD51C,RAD51 homolog C (S. cerevisiae),RAD51L2,yeast RAD51 homolog 3,DNA repair protein RAD51 homolog 3
Shipping Condition Cool pack
Available
Specificity Human,Mouse
Manufacturer - Type
Primary Antibodies
Shipping Temperature
Blue Ice
Storage Conditions
Store at -20˚ C. Avoid freeze / thaw cycles.
Molecular Weight
Observed: 42kDa
Manufacturer - Research Area
Other
Background
This gene is a member of the RAD51 family. RAD51 family members are highly similar to bacterial RecA and Saccharomyces cerevisiae Rad51 and are known to be involved in the homologous recombination and repair of DNA. This protein can interact with other RAD51 paralogs and is reported to be important for Holliday junction resolution. Mutations in this gene are associated with Fanconi anemia-like syndrome. This gene is one of four localized to a region of chromosome 17q23 where amplification occurs frequently in breast tumors. Overexpression of the four genes during amplification has been observed and suggests a possible role in tumor progression. Alternative splicing results in multiple transcript variants.
By Type
Other
Modifications
None
Purification
Affinity purification
Positive Control 1
MCF7
Positive Control 2
SW480
Positive Control 3
BT-474
Concentration
batch dependent
Buffer
PBS with 0.02% sodium azide, 50% glycerol, pH7.3.
Application Note
WB: 1:500 - 1:2000
IHC: 1:50 - 1:100
Immunogen
Recombinant fusion protein containing a sequence corresponding to amino acids 1-135 of human RAD51C (NP_002867.1).
Clonality
Polyclonal
NCBI Official Name
RAD51 paralog C
NCBI Organism
Homo sapiens
User Note
Optimal dilutions for each application to be determined by the researcher.

Note: The presented information and documents (Manual, Product Datasheet, Safety Datasheet and Certificate of Analysis) correspond to our latest update and should serve for orientational purpose only. We do not guarantee the topicality. We would kindly ask you to make a request for specific requirements, if necessary.

All products are intended for research use only (RUO). Not for human, veterinary or therapeutic use.

Amount: 100 uL
Available: In stock
available

Compare

Add to wishlist

Get an offer

Request delivery time

Ask a technical question

Submit a bulk request

Questions about this Product?
 
Close