Comparison

RBBP6 Antibody

Item no. PRS-22-593-100uL
Manufacturer ProSci
Amount 100 uL
Quantity options 100 uL
Category
Type Antibody Primary
Format Liquid
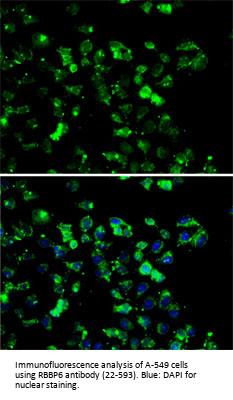
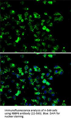
Applications WB, IF
Specific against Human (Homo sapiens)
Host Rabbit
Isotype IgG
Conjugate/Tag Unconjugated
NCBI RBBP6
ECLASS 10.1 32160702
ECLASS 11.0 32160702
UNSPSC 12352203
Shipping Condition Cool pack
Available
Specificity Human
Manufacturer - Type
Primary Antibodies
Shipping Temperature
Blue Ice
Storage Conditions
Store at -20˚ C. Avoid freeze / thaw cycles.
Molecular Weight
Observed: 160kDa
Manufacturer - Research Area
Apoptosis, Cancer, Cell Cycle
Background
The retinoblastoma tumor suppressor (pRB) protein binds with many other proteins. In various human cancers, pRB suppresses cellular proliferation and is inactivated. Cell cycle-dependent phosphorylation regulates the activity of pRB. This gene encodes a protein which binds to underphosphorylated but not phosphorylated pRB. Multiple alternatively spliced transcript variants that encode different isoforms have been found for this gene.
By Type
Apoptosis, Cancer, Cell Cycle
Modifications
None
Purification
Affinity purification
Positive Control 1
HL-60
Positive Control 2
Jurkat
Concentration
batch dependent
Buffer
PBS with 0.02% sodium azide, 50% glycerol, pH7.3.
Application Note
WB: 1:500 - 1:2000
IF: 1:50 - 1:200
Immunogen
Recombinant fusion protein containing a sequence corresponding to amino acids 1-118 of human RBBP6 (NP_116015.2).
Clonality
Polyclonal
NCBI Official Name
RB binding protein 6, ubiquitin ligase
NCBI Organism
Homo sapiens
User Note
Optimal dilutions for each application to be determined by the researcher.
Manufacturer - Additional Names
MY038, P2P-R, PACT, RBQ-1, SNAMA, E3 ubiquitin-protein ligase RBBP6, RB-binding Q-protein 1, RING-type E3 ubiquitin transferase RBBP6, p53-associated cellular protein of testis, proliferation potential-related protein, protein P2P-R, retinoblastoma binding protein 6, retinoblastoma-binding Q protein 1, retinoblastoma-binding protein 6

Note: The presented information and documents (Manual, Product Datasheet, Safety Datasheet and Certificate of Analysis) correspond to our latest update and should serve for orientational purpose only. We do not guarantee the topicality. We would kindly ask you to make a request for specific requirements, if necessary.

All products are intended for research use only (RUO). Not for human, veterinary or therapeutic use.

Amount: 100 uL
Available: In stock
available

Compare

Add to wishlist

Get an offer

Request delivery time

Ask a technical question

Submit a bulk request

Questions about this Product?
 
Close