Comparison

SSX2 Antibody

Item no. PRS-22-611-100uL
Manufacturer ProSci
Amount 100 uL
Quantity options 100 uL
Category
Type Antibody Primary
Format Liquid
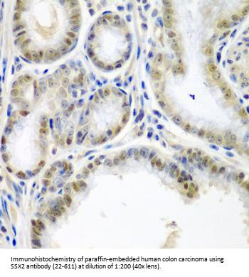
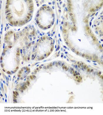
Applications WB, IHC
Specific against Human (Homo sapiens)
Host Rabbit
Isotype IgG
Conjugate/Tag Unconjugated
NCBI SSX2
ECLASS 10.1 32160702
ECLASS 11.0 32160702
UNSPSC 12352203
Alias SSX2,HD21,HOM-MEL-40,MGC119055,MGC15364,MGC3884,SSX,CT5.2,CT5.2A
Shipping Condition Cool pack
Available
Specificity Human
Manufacturer - Type
Primary Antibodies
Shipping Temperature
Blue Ice
Storage Conditions
Store at -20˚ C. Avoid freeze / thaw cycles.
Molecular Weight
Observed: 22kDa
Manufacturer - Research Area
Other
Background
The product of this gene belongs to the family of highly homologous synovial sarcoma X (SSX) breakpoint proteins. These proteins may function as transcriptional repressors. They are also capable of eliciting spontaneous humoral and cellular immune responses in cancer patients, and are potentially useful targets in cancer vaccine-based immunotherapy. This gene, and also the SSX1 and SSX4 family members, have been involved in t(X; 18)(p11.2; q11.2) translocations that are characteristically found in all synovial sarcomas. This translocation results in the fusion of the synovial sarcoma translocation gene on chromosome 18 to one of the SSX genes on chromosome X. The encoded hybrid proteins are likely responsible for transforming activity. Alternative splicing of this gene results in multiple transcript variants. This gene also has an identical duplicate, GeneID: 727837, located about 45 kb downstream in the opposite orientation on chromosome X.
By Type
Other
Modifications
None
Purification
Affinity purification
Positive Control 1
HeLa
Concentration
batch dependent
Buffer
PBS with 0.02% sodium azide, 50% glycerol, pH7.3.
Application Note
WB: 1:500 - 1:2000
IHC: 1:50 - 1:200
Immunogen
Recombinant fusion protein containing a sequence corresponding to amino acids 1-188 of human SSX2 (NP_783629.1).
Clonality
Polyclonal
NCBI Official Name
synovial sarcoma, X breakpoint 2
NCBI Organism
Homo sapiens
User Note
Optimal dilutions for each application to be determined by the researcher.

Note: The presented information and documents (Manual, Product Datasheet, Safety Datasheet and Certificate of Analysis) correspond to our latest update and should serve for orientational purpose only. We do not guarantee the topicality. We would kindly ask you to make a request for specific requirements, if necessary.

All products are intended for research use only (RUO). Not for human, veterinary or therapeutic use.

Amount: 100 uL
Available: In stock
available

Compare

Add to wishlist

Get an offer

Request delivery time

Ask a technical question

Submit a bulk request

Questions about this Product?
 
Close