Comparison

UBE2V2 Antibody

Item no. PRS-22-619-100uL
Manufacturer ProSci
Amount 100 uL
Quantity options 100 uL
Category
Type Antibody Primary
Format Liquid
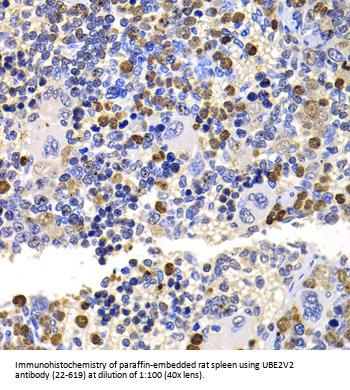
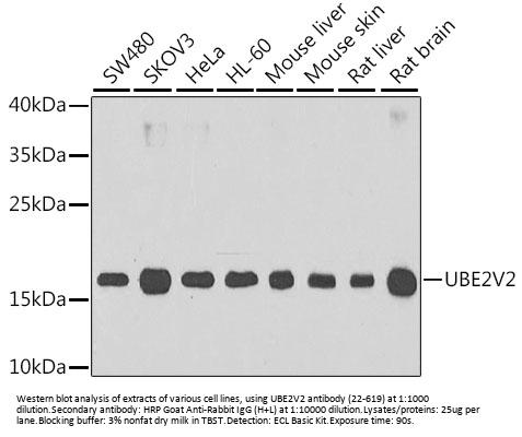
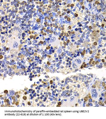
Applications WB, IHC
Specific against Human (Homo sapiens), Mouse (Murine, Mus musculus), Rat (Rattus norvegicus)
Host Rabbit
Isotype IgG
Conjugate/Tag Unconjugated
NCBI UBE2V2
ECLASS 10.1 32160702
ECLASS 11.0 32160702
UNSPSC 12352203
Alias UBE2V2,ubiquitin-conjugating enzyme E2 variant 2,MMS2,UEV2,EDPF1,UEV-2,DDVIT1,EDAF-1,EDPF-1,DDVit-1,1 alpha,25-dihydroxyvitamin D3-inducible,enterocyte differentiation promoting factor,methyl methanesulfonate sensitive 2,S. cerevisiae,homolog of
Shipping Condition Cool pack
Available
Specificity Human,Mouse,Rat
Manufacturer - Type
Primary Antibodies
Shipping Temperature
Blue Ice
Storage Conditions
Store at -20˚ C. Avoid freeze / thaw cycles.
Molecular Weight
Observed: 16kDa
Manufacturer - Research Area
Apoptosis, Cell Cycle
Background
Ubiquitin-conjugating enzyme E2 variant proteins constitute a distinct subfamily within the E2 protein family. They have sequence similarity to other ubiquitin-conjugating enzymes but lack the conserved cysteine residue that is critical for the catalytic activity of E2s. The protein encoded by this gene also shares homology with ubiquitin-conjugating enzyme E2 variant 1 and yeast MMS2 gene product. It may be involved in the differentiation of monocytes and enterocytes.
By Type
Apoptosis, Cell Cycle
Modifications
None
Purification
Affinity purification
Positive Control 1
SW480
Positive Control 2
SKOV3
Positive Control 3
HeLa
Positive Control 4
HL-60
Positive Control 5
Mouse liver
Positive Control 6
Mouse skin
Concentration
batch dependent
Buffer
PBS with 0.02% sodium azide, 50% glycerol, pH7.3.
Application Note
WB: 1:500 - 1:2000
IHC: 1:50 - 1:200
Immunogen
Recombinant fusion protein containing a sequence corresponding to amino acids 1-145 of human UBE2V2 (NP_003341.1).
Clonality
Polyclonal
NCBI Official Name
ubiquitin-conjugating enzyme E2 variant 2
NCBI Organism
Homo sapiens
User Note
Optimal dilutions for each application to be determined by the researcher.

Note: The presented information and documents (Manual, Product Datasheet, Safety Datasheet and Certificate of Analysis) correspond to our latest update and should serve for orientational purpose only. We do not guarantee the topicality. We would kindly ask you to make a request for specific requirements, if necessary.

All products are intended for research use only (RUO). Not for human, veterinary or therapeutic use.

Amount: 100 uL
Available: In stock
available

Compare

Add to wishlist

Get an offer

Request delivery time

Ask a technical question

Submit a bulk request

Questions about this Product?
 
Close