Comparison

CBFA2T2 Antibody

Item no. PRS-22-645-100uL
Manufacturer ProSci
Amount 100 uL
Quantity options 100 uL
Category
Type Antibody Primary
Format Liquid
Applications WB, IF
Specific against Human (Homo sapiens), Mouse (Murine, Mus musculus), Rat (Rattus norvegicus)
Host Rabbit
Isotype IgG
Conjugate/Tag Unconjugated
NCBI CBFA2T2
ECLASS 10.1 32160702
ECLASS 11.0 32160702
UNSPSC 12352203
Shipping Condition Cool pack
Available
Specificity Human,Mouse,Rat
Manufacturer - Type
Primary Antibodies
Shipping Temperature
Blue Ice
Storage Conditions
Store at -20˚ C. Avoid freeze / thaw cycles.
Molecular Weight
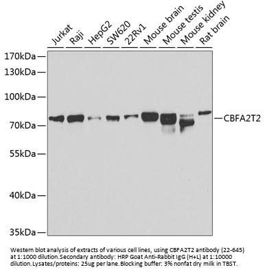
Observed: 72kDa
Manufacturer - Research Area
Other
Background
In acute myeloid leukemia, especially in the M2 subtype, the t(8; 21)(q22; q22) translocation is one of the most frequent karyotypic abnormalities. The translocation produces a chimeric gene made up of the 5'-region of the RUNX1 (AML1) gene fused to the 3'-region of the CBFA2T1 (MTG8) gene. The chimeric protein is thought to associate with the nuclear corepressor/histone deacetylase complex to block hematopoietic differentiation. The protein encoded by this gene binds to the AML1-MTG8 complex and may be important in promoting leukemogenesis. Several transcript variants are thought to exist for this gene, but the full-length natures of only three have been described.
By Type
Other
Modifications
None
Purification
Affinity purification
Positive Control 1
Jurkat
Positive Control 2
Raji
Positive Control 3
HepG2
Positive Control 4
SW620
Positive Control 5
22Rv1
Positive Control 6
Mouse brain
Concentration
batch dependent
Buffer
PBS with 0.02% sodium azide, 50% glycerol, pH7.3.
Application Note
WB: 1:500 - 1:2000
IF: 1:50 - 1:100
Immunogen
Recombinant fusion protein containing a sequence corresponding to amino acids 325-604 of human CBFA2T2 (NP_005084.1).
Clonality
Polyclonal
NCBI Official Name
CBFA2/RUNX1 partner transcriptional co-repressor 2
NCBI Organism
Homo sapiens
User Note
Optimal dilutions for each application to be determined by the researcher.
Manufacturer - Additional Names
EHT, MTGR1, ZMYND3, p85, protein CBFA2T2, CBFA2/RUNX1 translocation partner 2, ETO homolog on chromosome 2ETO homologous on chromosome 2MTG8-like protein, MTG8-related protein 1, core-binding factor, runt domain, alpha subunit 2, translocated to, 2, myeloid translocation gene-related protein 1, myeloid translocation-related protein 1

Note: The presented information and documents (Manual, Product Datasheet, Safety Datasheet and Certificate of Analysis) correspond to our latest update and should serve for orientational purpose only. We do not guarantee the topicality. We would kindly ask you to make a request for specific requirements, if necessary.

All products are intended for research use only (RUO). Not for human, veterinary or therapeutic use.

Amount: 100 uL
Available: In stock
available

Compare

Add to wishlist

Get an offer

Request delivery time

Ask a technical question

Submit a bulk request

Questions about this Product?
 
Close