Comparison

EFTUD2 Antibody

Item no. PRS-22-651-100uL
Manufacturer ProSci
Amount 100 uL
Quantity options 100 uL
Category
Type Antibody Primary
Format Liquid
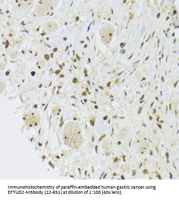
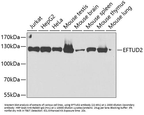
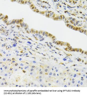
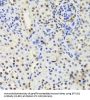
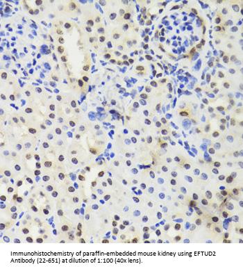
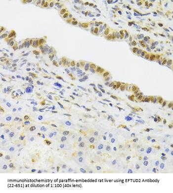
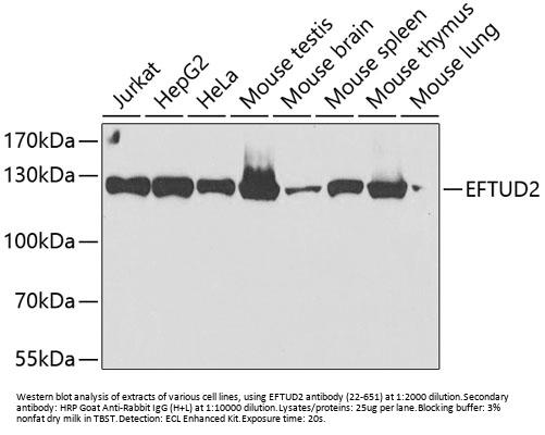
Applications WB, IF, IP, IHC
Specific against Human (Homo sapiens), Mouse (Murine, Mus musculus), Rat (Rattus norvegicus)
Host Rabbit
Isotype IgG
Conjugate/Tag Unconjugated
NCBI EFTUD2
ECLASS 10.1 32160702
ECLASS 11.0 32160702
UNSPSC 12352203
Alias 116 kDa U5 small nuclear ribonucleoprotein component,Elongation factor Tu GTP-binding domain-containing protein 2,SNU114 homolog,hSNU114,U5 snRNP-specific protein,116 kDa,U5-116 kDa,EFTUD2,KIAA0031,SNRP116
Shipping Condition Cool pack
Available
Specificity Human,Mouse,Rat
Manufacturer - Type
Primary Antibodies
Shipping Temperature
Blue Ice
Storage Conditions
Store at -20˚ C. Avoid freeze / thaw cycles.
Molecular Weight
Observed: 120kDa
Manufacturer - Research Area
Other
Background
This gene encodes a GTPase which is a component of the spliceosome complex which processes precursor mRNAs to produce mature mRNAs. Mutations in this gene are associated with mandibulofacial dysostosis with microcephaly. Multiple transcript variants encoding different isoforms have been found for this gene.
By Type
Other
Modifications
None
Purification
Affinity purification
Positive Control 1
Jurkat
Positive Control 2
HepG2
Positive Control 3
HeLa
Positive Control 4
Mouse testis
Positive Control 5
Mouse brain
Positive Control 6
Mouse spleen
Concentration
batch dependent
Buffer
PBS with 0.02% sodium azide, 50% glycerol, pH7.3.
Application Note
WB: 1:500 - 1:2000
IHC: 1:50 - 1:200
IF: 1:50 - 1:100
IP: 1:20 - 1:50
Immunogen
Recombinant fusion protein containing a sequence corresponding to amino acids 1-205 of human EFTUD2 (NP_004238.3).
Clonality
Polyclonal
NCBI Official Name
116 kDa U5 small nuclear ribonucleoprotein component
NCBI Organism
Homo sapiens
User Note
Optimal dilutions for each application to be determined by the researcher.

Note: The presented information and documents (Manual, Product Datasheet, Safety Datasheet and Certificate of Analysis) correspond to our latest update and should serve for orientational purpose only. We do not guarantee the topicality. We would kindly ask you to make a request for specific requirements, if necessary.

All products are intended for research use only (RUO). Not for human, veterinary or therapeutic use.

Amount: 100 uL
Available: In stock
available

Compare

Add to wishlist

Get an offer

Request delivery time

Ask a technical question

Submit a bulk request

Questions about this Product?
 
Close