Comparison

ARFGAP1 Antibody

Item no. PRS-22-715-100uL
Manufacturer ProSci
Amount 100 uL
Quantity options 100 uL
Category
Type Antibody Primary
Format Liquid
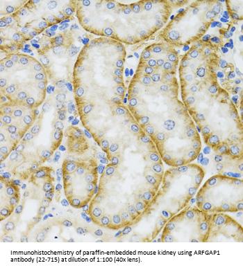
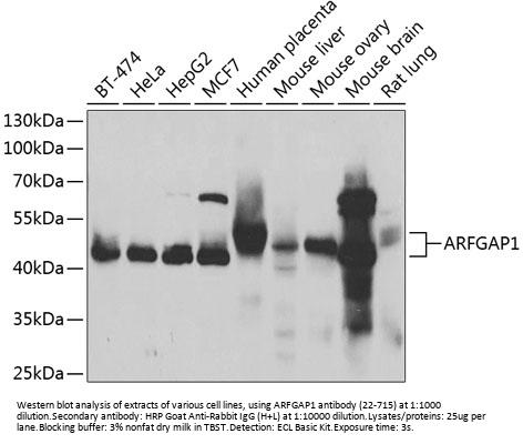
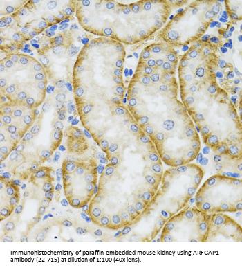
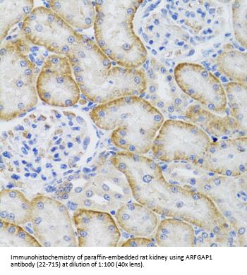
Applications WB, IF, IHC
Specific against Human (Homo sapiens), Mouse (Murine, Mus musculus), Rat (Rattus norvegicus)
Host Rabbit
Isotype IgG
Conjugate/Tag Unconjugated
NCBI ARFGAP1
ECLASS 10.1 32160702
ECLASS 11.0 32160702
UNSPSC 12352203
Alias ADP-ribosylation factor GTPase-activating protein 1,ARF GAP 1,ADP-ribosylation factor 1 GTPase-activating protein,ARF1 GAP,ARF1-directed GTPase-activating protein,ARFGAP1,ARF1GAP
Shipping Condition Cool pack
Available
Specificity Human,Mouse,Rat
Manufacturer - Type
Primary Antibodies
Shipping Temperature
Blue Ice
Storage Conditions
Store at -20˚ C. Avoid freeze / thaw cycles.
Molecular Weight
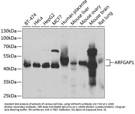
Observed: 45kDa
Manufacturer - Research Area
Signal Transduction
Background
The protein encoded by this gene is a GTPase-activating protein, which associates with the Golgi apparatus and which interacts with ADP-ribosylation factor 1. The encoded protein promotes hydrolysis of ADP-ribosylation factor 1-bound GTP and is required for the dissociation of coat proteins from Golgi-derived membranes and vesicles. Dissociation of the coat proteins is required for the fusion of these vesicles with target compartments. The activity of this protein is stimulated by phosphoinosides and inhibited by phosphatidylcholine. Alternative splicing results in multiple transcript variants.
By Type
Signal Transduction
Modifications
None
Purification
Affinity purification
Positive Control 1
BT-474
Positive Control 2
HeLa
Positive Control 3
HepG2
Positive Control 4
MCF7
Positive Control 5
Human placenta
Positive Control 6
Mouse liver
Concentration
batch dependent
Buffer
PBS with 0.02% sodium azide, 50% glycerol, pH7.3.
Application Note
WB: 1:500 - 1:2000
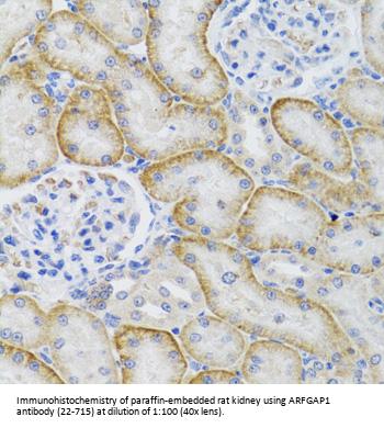
IHC: 1:50 - 1:200
IF: 1:50 - 1:100
Immunogen
Recombinant fusion protein containing a sequence corresponding to amino acids 1-220 of human ARFGAP1 (NP_001268411.1).
Clonality
Polyclonal
NCBI Official Name
ADP-ribosylation factor GTPase-activating protein 1
NCBI Organism
Homo sapiens
User Note
Optimal dilutions for each application to be determined by the researcher.

Note: The presented information and documents (Manual, Product Datasheet, Safety Datasheet and Certificate of Analysis) correspond to our latest update and should serve for orientational purpose only. We do not guarantee the topicality. We would kindly ask you to make a request for specific requirements, if necessary.

All products are intended for research use only (RUO). Not for human, veterinary or therapeutic use.

Amount: 100 uL
Available: In stock
available

Compare

Add to wishlist

Get an offer

Request delivery time

Ask a technical question

Submit a bulk request

Questions about this Product?
 
Close