Comparison

CEBPG Antibody

Item no. PRS-22-831-100uL
Manufacturer ProSci
Amount 100 uL
Quantity options 100 uL
Category
Type Antibody Primary
Format Liquid
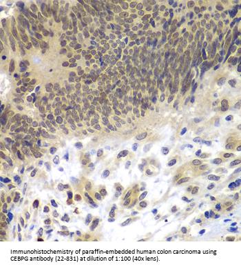
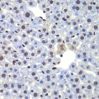
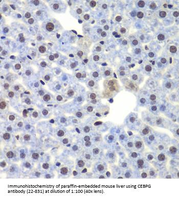
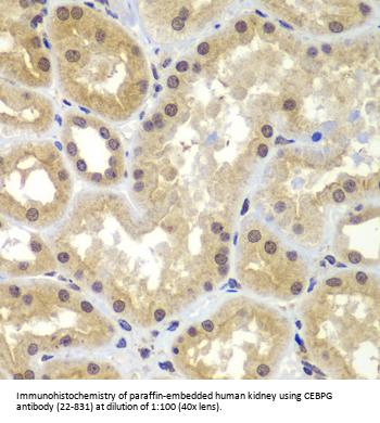
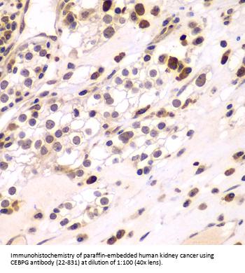
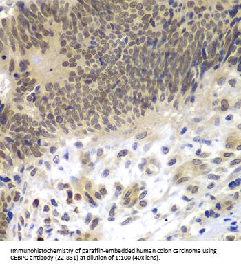
Applications WB, IF, IHC
Specific against Human (Homo sapiens), Mouse (Murine, Mus musculus), Rat (Rattus norvegicus)
Host Rabbit
Isotype IgG
Conjugate/Tag Unconjugated
NCBI CEBPG
ECLASS 10.1 32160702
ECLASS 11.0 32160702
UNSPSC 12352203
Alias CEBPG,GPE1BP,IG/EBP-1
Shipping Condition Cool pack
Available
Specificity Human,Mouse,Rat
Manufacturer - Type
Primary Antibodies
Shipping Temperature
Blue Ice
Storage Conditions
Store at -20˚ C. Avoid freeze / thaw cycles.
Molecular Weight
Observed: 16kDa
Manufacturer - Research Area
Apoptosis, Cell Cycle, Transcription
Background
The C/EBP family of transcription factors regulates viral and cellular CCAAT/enhancer element-mediated transcription. C/EBP proteins contain the bZIP region, which is characterized by two motifs in the C-terminal half of the protein: a basic region involved in DNA binding and a leucine zipper motif involved in dimerization. The C/EBP family consist of several related proteins, C/EBP alpha, C/EBP beta, C/EBP gamma, and C/EBP delta, that form homodimers and that form heterodimers with each other. CCAAT/enhancer binding protein gamma may cooperate with Fos to bind PRE-I enhancer elements. Two transcript variants encoding the same protein have been found for this gene.
By Type
Apoptosis, Cell Cycle, Transcription
Modifications
None
Purification
Affinity purification
Positive Control 1
A-549
Positive Control 2
HT-29
Positive Control 3
Mouse liver
Positive Control 4
Mouse testis
Positive Control 5
Mouse lung
Concentration
batch dependent
Buffer
PBS with 0.02% sodium azide, 50% glycerol, pH7.3.
Application Note
WB: 1:500 - 1:2000
IHC: 1:50 - 1:200
IF: 1:50 - 1:100
Immunogen
Recombinant fusion protein containing a sequence corresponding to amino acids 1-150 of human CEBPG (NP_001797.1).
Clonality
Polyclonal
NCBI Official Name
CCAAT/enhancer binding protein (C/EBP), gamma
NCBI Organism
Homo sapiens
User Note
Optimal dilutions for each application to be determined by the researcher.

Note: The presented information and documents (Manual, Product Datasheet, Safety Datasheet and Certificate of Analysis) correspond to our latest update and should serve for orientational purpose only. We do not guarantee the topicality. We would kindly ask you to make a request for specific requirements, if necessary.

All products are intended for research use only (RUO). Not for human, veterinary or therapeutic use.

Amount: 100 uL
Available: In stock
available

Compare

Add to wishlist

Get an offer

Request delivery time

Ask a technical question

Submit a bulk request

Questions about this Product?
 
Close