Comparison

PSMB8 Antibody

Item no. PRS-22-875-100uL
Manufacturer ProSci
Amount 100 uL
Quantity options 100 uL
Category
Type Antibody Primary
Format Liquid
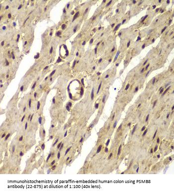
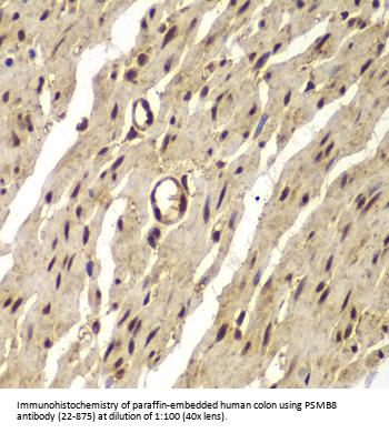
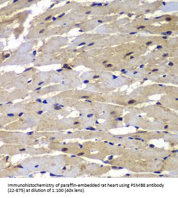
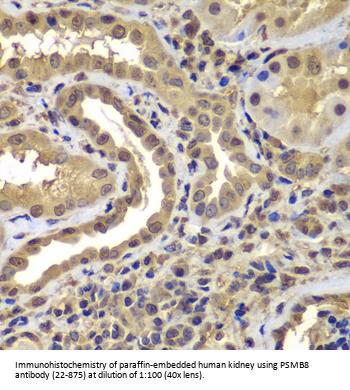
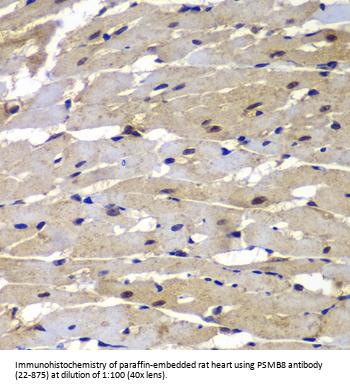
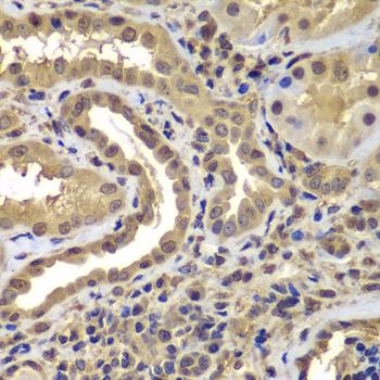
Applications WB, IF, IHC
Specific against Human (Homo sapiens), Mouse (Murine, Mus musculus), Rat (Rattus norvegicus)
Host Rabbit
Isotype IgG
Conjugate/Tag Unconjugated
NCBI PSMB8
ECLASS 10.1 32160702
ECLASS 11.0 32160702
UNSPSC 12352203
Shipping Condition Cool pack
Available
Specificity Human,Mouse,Rat
Manufacturer - Type
Primary Antibodies
Shipping Temperature
Blue Ice
Storage Conditions
Store at -20˚ C. Avoid freeze / thaw cycles.
Molecular Weight
Observed: 23-28kDa
Manufacturer - Research Area
Cell Cycle
Background
The proteasome is a multicatalytic proteinase complex with a highly ordered ring-shaped 20S core structure. The core structure is composed of 4 rings of 28 non-identical subunits; 2 rings are composed of 7 alpha subunits and 2 rings are composed of 7 beta subunits. Proteasomes are distributed throughout eukaryotic cells at a high concentration and cleave peptides in an ATP/ubiquitin-dependent process in a non-lysosomal pathway. An essential function of a modified proteasome, the immunoproteasome, is the processing of class I MHC peptides. This gene encodes a member of the proteasome B-type family, also known as the T1B family, that is a 20S core beta subunit. This gene is located in the class II region of the MHC (major histocompatibility complex). Expression of this gene is induced by gamma interferon and this gene product replaces catalytic subunit 3 (proteasome beta 5 subunit) in the immunoproteasome. Proteolytic processing is required to generate a mature subunit. Two alternative transcripts encoding two isoforms have been identified; both isoforms are processed to yield the same mature subunit.
By Type
Cell Cycle
Modifications
None
Purification
Affinity purification
Positive Control 1
Jurkat
Positive Control 2
HepG2
Positive Control 3
HL-60
Positive Control 4
NCI-H460
Positive Control 5
Mouse liver
Positive Control 6
Mouse spleen
Concentration
batch dependent
Buffer
PBS with 0.02% sodium azide, 50% glycerol, pH7.3.
Application Note
WB: 1:500 - 1:2000
IHC: 1:50 - 1:200
IF: 1:50 - 1:200
Immunogen
Recombinant fusion protein containing a sequence corresponding to amino acids 163-272 of human PSMB8 (NP_004150.1).
Clonality
Polyclonal
NCBI Official Name
proteasome (prosome, macropain) subunit, beta type, 8
NCBI Organism
Homo sapiens
User Note
Optimal dilutions for each application to be determined by the researcher.
Manufacturer - Additional Names
PSMB8, proteasome (prosome, macropain) subunit, beta type, 8 (large multifunctional peptidase 7), D6S216, D6S216E, LMP7, MGC1491, PSMB5i, RING10, beta5i, OTTHUMP00000029420, OTTHUMP00000029421, OTTHUMP00000062981, low molecular weight protein 7, macropain subunit C13, multicatalytic endopeptidase complex subunit C13, protease component C13, macropain) subunit beta type 8 (large multifunctional protease 7), proteasome beta 8 subunit, proteasome catalytic subunit 3i, proteasome subunit Y2, proteasome subunit beta 5i, proteasome-related gene 7, JMP, ALDD, NKJO

Note: The presented information and documents (Manual, Product Datasheet, Safety Datasheet and Certificate of Analysis) correspond to our latest update and should serve for orientational purpose only. We do not guarantee the topicality. We would kindly ask you to make a request for specific requirements, if necessary.

All products are intended for research use only (RUO). Not for human, veterinary or therapeutic use.

Amount: 100 uL
Available: In stock
available

Compare

Add to wishlist

Get an offer

Request delivery time

Ask a technical question

Submit a bulk request

Questions about this Product?
 
Close