Comparison

ICAM4 Antibody

Item no. PRS-22-938-100uL
Manufacturer ProSci
Amount 100 uL
Quantity options 100 uL
Category
Type Antibody Primary
Format Liquid
Applications WB
Specific against Human (Homo sapiens), Mouse (Murine, Mus musculus), Rat (Rattus norvegicus)
Host Rabbit
Isotype IgG
Conjugate/Tag Unconjugated
NCBI ICAM4
ECLASS 10.1 32160702
ECLASS 11.0 32160702
UNSPSC 12352203
Alias ICAM4,intercellular adhesion molecule 4 (Landsteiner-Wiener blood group),CD242,LW,CD242 antigen,LW blood group protein,Landsteiner-Wiener blood group antigen a,Landsteiner-Wiener blood group glycoprotein,intercellular adhesion molecule 4,intercel
Shipping Condition Cool pack
Available
Specificity Human,Mouse,Rat
Manufacturer - Type
Primary Antibodies
Shipping Temperature
Blue Ice
Storage Conditions
Store at -20˚ C. Avoid freeze / thaw cycles.
Molecular Weight
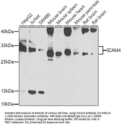
Observed: 29kDa
Manufacturer - Research Area
Apoptosis, Cell Cycle, Immunology, Signal Transduction
Background
This gene encodes the Landsteiner-Wiener (LW) blood group antigen(s) that belongs to the immunoglobulin (Ig) superfamily, and that shares similarity with the intercellular adhesion molecule (ICAM) protein family. This ICAM protein contains 2 Ig-like C2-type domains and binds to the leukocyte adhesion LFA-1 protein. The molecular basis of the LW(A)/LW(B) blood group antigens is a single aa variation at position 100; Gln-100=LW(A) and Arg-100=LW(B). Alternative splicing results in multiple transcript variants encoding distinct isoforms.
By Type
Apoptosis, Cell Cycle, Immunology, Signal Transduction
Modifications
None
Purification
Affinity purification
Positive Control 1
HepG2
Positive Control 2
Jurkat
Positive Control 3
SW480
Positive Control 4
Mouse brain
Positive Control 5
Mouse spleen
Positive Control 6
Mouse heart
Concentration
batch dependent
Buffer
PBS with 0.02% sodium azide, 50% glycerol, pH7.3.
Application Note
WB: 1:500 - 1:2000
Immunogen
Recombinant fusion protein containing a sequence corresponding to amino acids 20-140 of human ICAM4 (NP_001034221.1).
Clonality
Polyclonal
NCBI Official Name
intercellular adhesion molecule 4 (Landsteiner-Wiener blood group)
NCBI Organism
Homo sapiens
User Note
Optimal dilutions for each application to be determined by the researcher.

Note: The presented information and documents (Manual, Product Datasheet, Safety Datasheet and Certificate of Analysis) correspond to our latest update and should serve for orientational purpose only. We do not guarantee the topicality. We would kindly ask you to make a request for specific requirements, if necessary.

All products are intended for research use only (RUO). Not for human, veterinary or therapeutic use.

Amount: 100 uL
Available: In stock
available

Compare

Add to wishlist

Get an offer

Request delivery time

Ask a technical question

Submit a bulk request

Questions about this Product?
 
Close