Comparison

PRKAG3 Antibody

Item no. PRS-22-963-100uL
Manufacturer ProSci
Amount 100 uL
Quantity options 100 uL
Category
Type Antibody Primary
Format Liquid
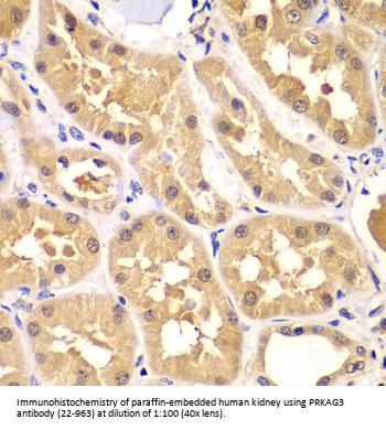
Applications IF, IHC
Specific against Human (Homo sapiens)
Host Rabbit
Isotype IgG
Conjugate/Tag Unconjugated
NCBI PRKAG3
ECLASS 10.1 32160702
ECLASS 11.0 32160702
UNSPSC 12352203
Alias PRKAG3,protein kinase,AMP-activated,gamma 3 non-catalytic subunit,AMPKG3,5'-AMP-activated protein kinase,gamma-3 subunit,AMP-activated protein kinase,non-catalytic gamma-3 subunit,AMPK gamma-3 chain
Shipping Condition Cool pack
Available
Specificity Human
Manufacturer - Type
Primary Antibodies
Shipping Temperature
Blue Ice
Storage Conditions
Store at -20˚ C. Avoid freeze / thaw cycles.
Manufacturer - Research Area
Autophagy, Cancer, Cell Cycle, Signal Transduction
Background
The protein encoded by this gene is a regulatory subunit of the AMP-activated protein kinase (AMPK). AMPK is a heterotrimer consisting of an alpha catalytic subunit, and non-catalytic beta and gamma subunits. AMPK is an important energy-sensing enzyme that monitors cellular energy status. In response to cellular metabolic stresses, AMPK is activated, and thus phosphorylates and inactivates acetyl-CoA carboxylase (ACC) and beta-hydroxy beta-methylglutaryl-CoA reductase (HMGCR), key enzymes involved in regulating de novo biosynthesis of fatty acid and cholesterol. This subunit is one of the gamma regulatory subunits of AMPK. It is dominantly expressed in skeletal muscle. Studies of the pig counterpart suggest that this subunit may play a key role in the regulation of energy metabolism in skeletal muscle.
By Type
Autophagy, Cancer, Cell Cycle, Signal Transduction
Modifications
None
Purification
Affinity purification
Concentration
batch dependent
Buffer
PBS with 0.02% sodium azide, 50% glycerol, pH7.3.
Application Note
IHC: 1:50 - 1:200
IF: 1:50 - 1:100
Immunogen
Recombinant fusion protein containing a sequence corresponding to amino acids 1-210 of human PRKAG3 (NP_059127.2).
Clonality
Polyclonal
NCBI Official Name
protein kinase, AMP-activated, gamma 3 non-catalytic subunit
NCBI Organism
Homo sapiens
User Note
Optimal dilutions for each application to be determined by the researcher.

Note: The presented information and documents (Manual, Product Datasheet, Safety Datasheet and Certificate of Analysis) correspond to our latest update and should serve for orientational purpose only. We do not guarantee the topicality. We would kindly ask you to make a request for specific requirements, if necessary.

All products are intended for research use only (RUO). Not for human, veterinary or therapeutic use.

Amount: 100 uL
Available: In stock
available

Compare

Add to wishlist

Get an offer

Request delivery time

Ask a technical question

Submit a bulk request

Questions about this Product?
 
Close