Comparison

ITGA2 Antibody, KO Validated

Item no. PRS-23-063-100uL
Manufacturer ProSci
Amount 100 uL
Quantity options 100 uL
Category
Type Antibody Primary
Format Liquid
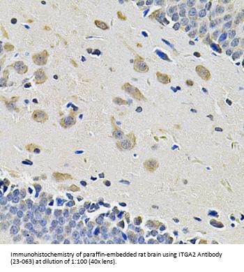
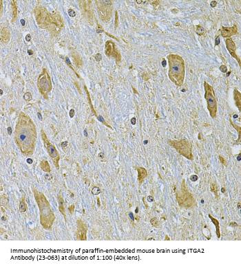
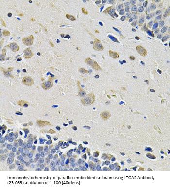
Applications WB, IF, IHC
Specific against Human (Homo sapiens), Mouse (Murine, Mus musculus), Rat (Rattus norvegicus)
Host Rabbit
Isotype IgG
Conjugate/Tag Unconjugated
NCBI ITGA2
ECLASS 10.1 32160702
ECLASS 11.0 32160702
UNSPSC 12352203
Alias ITGA2,Alpha2 integrin,BR,CD49b antigen,CD49B,Integrin alpha2,Integrin Alpha 2,Integrin alpha-2,HPA-5,VLA-2,VLAA2,VLA-2 subunit alpha,Collagen receptor,GPIa,Platelet antigen Br,Platelet glycoprotein GPIa,VLA2 receptor,alpha-2 subunit
Shipping Condition Cool pack
Available
Specificity Human,Mouse,Rat
Manufacturer - Type
Primary Antibodies
Shipping Temperature
Blue Ice
Storage Conditions
Store at -20˚ C. Avoid freeze / thaw cycles.
Molecular Weight
Observed: 150kDa
Manufacturer - Research Area
Cancer, Cell Cycle, Immunology, Signal Transduction
Background
This gene encodes the alpha subunit of a transmembrane receptor for collagens and related proteins. The encoded protein forms a heterodimer with a beta subunit and mediates the adhesion of platelets and other cell types to the extracellular matrix. Loss of the encoded protein is associated with bleeding disorder platelet-type 9. Antibodies against this protein are found in several immune disorders, including neonatal alloimmune thrombocytopenia. This gene is located adjacent to a related alpha subunit gene. Alternative splicing results in multiple transcript variants.
By Type
Cancer, Cell Cycle, Immunology, Signal Transduction
Badges
KO
Modifications
None
Purification
Affinity purification
Validation
Antibody is Knockout validated.
Positive Control 1
HeLa
Positive Control 2
HT-1080
Concentration
batch dependent
Buffer
PBS with 0.02% sodium azide, 50% glycerol, pH7.3.
Application Note
WB: 1:500 - 1:2000
IHC: 1:100 - 1:200
IF: 1:50 - 1:200
Immunogen
Recombinant protein of human ITGA2
Clonality
Polyclonal
NCBI Official Name
integrin, alpha 2 (CD49B, alpha 2 subunit of VLA-2 receptor)
NCBI Organism
Homo sapiens
User Note
Optimal dilutions for each application to be determined by the researcher.
Validation
Antibody is Knockout validated.

Note: The presented information and documents (Manual, Product Datasheet, Safety Datasheet and Certificate of Analysis) correspond to our latest update and should serve for orientational purpose only. We do not guarantee the topicality. We would kindly ask you to make a request for specific requirements, if necessary.

All products are intended for research use only (RUO). Not for human, veterinary or therapeutic use.

Amount: 100 uL
Available: In stock
available

Delivery expected until 11/6/2025 

Compare

Add to wishlist

Get an offer

Request delivery time

Ask a technical question

Submit a bulk request

Questions about this Product?
 
Close