Comparison

GAA Antibody

Item no. PRS-23-097-100uL
Manufacturer ProSci
Amount 100 uL
Quantity options 100 uL
Category
Type Antibody Primary
Format Liquid
Applications WB, IF, IP
Specific against Human (Homo sapiens), Mouse (Murine, Mus musculus), Rat (Rattus norvegicus)
Host Rabbit
Isotype IgG
Conjugate/Tag Unconjugated
NCBI GAA
ECLASS 10.1 32160702
ECLASS 11.0 32160702
UNSPSC 12352203
Alias Lysosomal alpha-glucosidase,Acid maltase,Aglucosidase alfa,76 kDa lysosomal alpha-glucosidase,70 kDa lysosomal alpha-glucosidase,GAA
Shipping Condition Cool pack
Available
Specificity Human,Mouse,Rat
Manufacturer - Type
Primary Antibodies
Shipping Temperature
Blue Ice
Storage Conditions
Store at -20˚ C. Avoid freeze / thaw cycles.
Molecular Weight
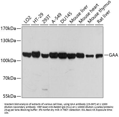
Observed: 105kDa
Manufacturer - Research Area
Cancer, Signal Transduction
Background
This gene encodes lysosomal alpha-glucosidase, which is essential for the degradation of glycogen to glucose in lysosomes. The encoded preproprotein is proteolytically processed to generate multiple intermediate forms and the mature form of the enzyme. Defects in this gene are the cause of glycogen storage disease II, also known as Pompe's disease, which is an autosomal recessive disorder with a broad clinical spectrum. Alternative splicing results in multiple transcript variants.
By Type
Cancer, Signal Transduction
Modifications
None
Purification
Affinity purification
Positive Control 1
LO2
Positive Control 2
HT-29
Positive Control 3
293T
Positive Control 4
A-549
Positive Control 5
DU145
Positive Control 6
Mouse liver
Concentration
batch dependent
Buffer
PBS with 0.02% sodium azide, 50% glycerol, pH7.3.
Application Note
WB: 1:500 - 1:2000
IF: 1:50 - 1:200
IP: 1:50 - 1:200
Immunogen
A synthetic peptide corresponding to a sequence within amino acids 350-450 of human GAA (NP_000143.2).
Clonality
Polyclonal
NCBI Official Name
Lysosomal alpha-glucosidase
NCBI Organism
Homo sapiens
User Note
Optimal dilutions for each application to be determined by the researcher.

Note: The presented information and documents (Manual, Product Datasheet, Safety Datasheet and Certificate of Analysis) correspond to our latest update and should serve for orientational purpose only. We do not guarantee the topicality. We would kindly ask you to make a request for specific requirements, if necessary.

All products are intended for research use only (RUO). Not for human, veterinary or therapeutic use.

Amount: 100 uL
Available: In stock
available

Compare

Add to wishlist

Get an offer

Request delivery time

Ask a technical question

Submit a bulk request

Questions about this Product?
 
Close