Comparison

SKP2 Antibody

Item no. PRS-23-136-100uL
Manufacturer ProSci
Amount 100 uL
Quantity options 100 uL
Category
Type Antibody Primary
Format Liquid
Applications WB
Specific against Human (Homo sapiens), Mouse (Murine, Mus musculus), Rat (Rattus norvegicus)
Host Rabbit
Isotype IgG
Conjugate/Tag Unconjugated
NCBI SKP2
ECLASS 10.1 32160702
ECLASS 11.0 32160702
UNSPSC 12352203
Alias S-phase kinase-associated protein 2,Cyclin-A/CDK2-associated protein p45,F-box protein Skp2,F-box/LRR-repeat protein 1,p45skp2,SKP2,FBXL1
Shipping Condition Cool pack
Available
Specificity Human,Mouse,Rat
Manufacturer - Type
Primary Antibodies
Shipping Temperature
Blue Ice
Storage Conditions
Store at -20˚ C. Avoid freeze / thaw cycles.
Molecular Weight
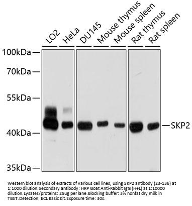
Observed: 45kDa
Manufacturer - Research Area
Apoptosis, Cell Cycle, Signal Transduction
Background
This gene encodes a member of the F-box protein family which is characterized by an approximately 40 amino acid motif, the F-box. The F-box proteins constitute one of the four subunits of ubiquitin protein ligase complex called SCFs (SKP1-cullin-F-box), which function in phosphorylation-dependent ubiquitination. The F-box proteins are divided into 3 classes: Fbws containing WD-40 domains, Fbls containing leucine-rich repeats, and Fbxs containing either different protein-protein interaction modules or no recognizable motifs. The protein encoded by this gene belongs to the Fbls class; in addition to an F-box, this protein contains 10 tandem leucine-rich repeats. This protein is an essential element of the cyclin A-CDK2 S-phase kinase. It specifically recognizes phosphorylated cyclin-dependent kinase inhibitor 1B (CDKN1B, also referred to as p27 or KIP1) predominantly in S phase and interacts with S-phase kinase-associated protein 1 (SKP1 or p19). In addition, this gene is established as a protooncogene causally involved in the pathogenesis of lymphomas. Alternative splicing of this gene generates three transcript variants encoding different isoforms.
By Type
Apoptosis, Cell Cycle, Signal Transduction
Modifications
None
Purification
Affinity purification
Positive Control 1
LO2
Positive Control 2
HeLa
Positive Control 3
DU145
Positive Control 4
Mouse thymus
Positive Control 5
Mouse spleen
Positive Control 6
Rat thymus
Concentration
batch dependent
Buffer
PBS with 0.02% sodium azide, 50% glycerol, pH7.3.
Application Note
WB: 1:500 - 1:2000
Immunogen
A synthetic peptide corresponding to a sequence within amino acids 1-100 of human SKP2 (NP_005974.2).
Clonality
Polyclonal
NCBI Official Name
S-phase kinase-associated protein 2
NCBI Organism
Homo sapiens
User Note
Optimal dilutions for each application to be determined by the researcher.

Note: The presented information and documents (Manual, Product Datasheet, Safety Datasheet and Certificate of Analysis) correspond to our latest update and should serve for orientational purpose only. We do not guarantee the topicality. We would kindly ask you to make a request for specific requirements, if necessary.

All products are intended for research use only (RUO). Not for human, veterinary or therapeutic use.

Amount: 100 uL
Available: In stock
available

Delivery expected until 11/6/2025 

Compare

Add to wishlist

Get an offer

Request delivery time

Ask a technical question

Submit a bulk request

Questions about this Product?
 
Close