Comparison

ARHGEF9 Antibody

Item no. PRS-23-314-100uL
Manufacturer ProSci
Amount 100 uL
Quantity options 100 uL
Category
Type Antibody Primary
Format Liquid
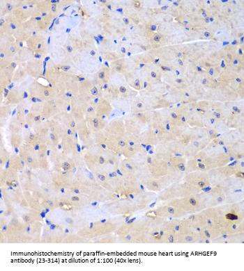
Applications WB, IF, IHC
Specific against Human (Homo sapiens), Mouse (Murine, Mus musculus), Rat (Rattus norvegicus)
Host Rabbit
Isotype IgG
Conjugate/Tag Unconjugated
NCBI ARHGEF9
ECLASS 10.1 32160702
ECLASS 11.0 32160702
UNSPSC 12352203
Alias ARHGEF9,ARHDH9,EIEE8,HPEM-2,KIAA0424,PEM-2 homolog,PEM2,COLLYBISTIN,HPEM-2 collybistin,PEM-2
Shipping Condition Cool pack
Available
Specificity Human,Mouse,Rat
Manufacturer - Type
Primary Antibodies
Shipping Temperature
Blue Ice
Storage Conditions
Store at -20˚ C. Avoid freeze / thaw cycles.
Molecular Weight
Observed: 61kDa
Manufacturer - Research Area
Signal Transduction
Background
The protein encoded by this gene is a Rho-like GTPase that switches between the active (GTP-bound) state and inactive (GDP-bound) state to regulate CDC42 and other genes. Defects in this gene are a cause of startle disease with epilepsy (STHEE), also known as hyperekplexia with epilepsy. Three transcript variants encoding different isoforms have been found for this gene.
By Type
Signal Transduction
Modifications
None
Purification
Affinity purification
Positive Control 1
BT-474
Positive Control 2
22Rv1
Positive Control 3
HeLa
Concentration
batch dependent
Buffer
PBS with 0.02% sodium azide, 50% glycerol, pH7.3.
Application Note
WB: 1:500 - 1:2000
IHC: 1:50 - 1:200
IF: 1:50 - 1:100
Immunogen
Recombinant fusion protein containing a sequence corresponding to amino acids 307-516 of human ARHGEF9 (NP_056000.1).
Clonality
Polyclonal
NCBI Official Name
Cdc42 guanine nucleotide exchange factor (GEF) 9
NCBI Organism
Homo sapiens
User Note
Optimal dilutions for each application to be determined by the researcher.

Note: The presented information and documents (Manual, Product Datasheet, Safety Datasheet and Certificate of Analysis) correspond to our latest update and should serve for orientational purpose only. We do not guarantee the topicality. We would kindly ask you to make a request for specific requirements, if necessary.

All products are intended for research use only (RUO). Not for human, veterinary or therapeutic use.

Amount: 100 uL
Available: In stock
available

Delivery expected until 11/6/2025 

Compare

Add to wishlist

Get an offer

Request delivery time

Ask a technical question

Submit a bulk request

Questions about this Product?
 
Close