Comparison

HSD11B2 Antibody

Item no. PRS-23-384-100uL
Manufacturer ProSci
Amount 100 uL
Quantity options 100 uL
Category
Type Antibody Primary
Format Liquid
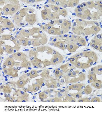
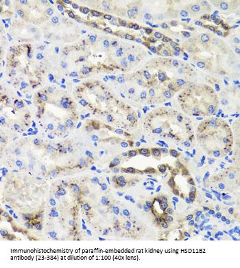
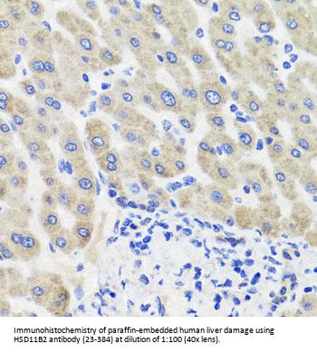
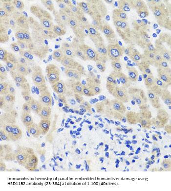
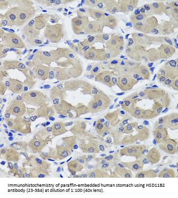
Applications WB, IHC
Specific against Human (Homo sapiens), Rat (Rattus norvegicus)
Host Rabbit
Isotype IgG
Conjugate/Tag Unconjugated
NCBI HSD11B2
ECLASS 10.1 32160702
ECLASS 11.0 32160702
UNSPSC 12352203
Alias HSD11B2,AME,AME1,HSD11K,HSD2,SDR9C3
Shipping Condition Cool pack
Available
Specificity Human,Rat
Manufacturer - Type
Primary Antibodies
Shipping Temperature
Blue Ice
Storage Conditions
Store at -20˚ C. Avoid freeze / thaw cycles.
Molecular Weight
Observed: 44kDa
Manufacturer - Research Area
Cancer, Cell Cycle, Growth Factors, Signal Transduction
Background
There are at least two isozymes of the corticosteroid 11-beta-dehydrogenase, a microsomal enzyme complex responsible for the interconversion of cortisol and cortisone. The type I isozyme has both 11-beta-dehydrogenase (cortisol to cortisone) and 11-oxoreductase (cortisone to cortisol) activities. The type II isozyme, encoded by this gene, has only 11-beta-dehydrogenase activity. In aldosterone-selective epithelial tissues such as the kidney, the type II isozyme catalyzes the glucocorticoid cortisol to the inactive metabolite cortisone, thus preventing illicit activation of the mineralocorticoid receptor. In tissues that do not express the mineralocorticoid receptor, such as the placenta and testis, it protects cells from the growth-inhibiting and/or pro-apoptotic effects of cortisol, particularly during embryonic development. Mutations in this gene cause the syndrome of apparent mineralocorticoid excess and hypertension.
By Type
Cancer, Cell Cycle, Growth Factors, Signal Transduction
Modifications
None
Purification
Affinity purification
Positive Control 1
HepG2
Concentration
batch dependent
Buffer
PBS with 0.02% sodium azide, 50% glycerol, pH7.3.
Application Note
WB: 1:200 - 1:1000
IHC: 1:50 - 1:100
Immunogen
Recombinant fusion protein containing a sequence corresponding to amino acids 266-405 of human HSD11B2 (NP_000187.3).
Clonality
Polyclonal
NCBI Official Name
hydroxysteroid (11-beta) dehydrogenase 2
NCBI Organism
Homo sapiens
User Note
Optimal dilutions for each application to be determined by the researcher.

Note: The presented information and documents (Manual, Product Datasheet, Safety Datasheet and Certificate of Analysis) correspond to our latest update and should serve for orientational purpose only. We do not guarantee the topicality. We would kindly ask you to make a request for specific requirements, if necessary.

All products are intended for research use only (RUO). Not for human, veterinary or therapeutic use.

Amount: 100 uL
Available: In stock
available

Compare

Add to wishlist

Get an offer

Request delivery time

Ask a technical question

Submit a bulk request

Questions about this Product?
 
Close