Comparison

NEDD4L Antibody

Item no. PRS-23-389-100uL
Manufacturer ProSci
Amount 100 uL
Quantity options 100 uL
Category
Type Antibody Primary
Format Liquid
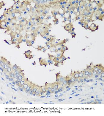
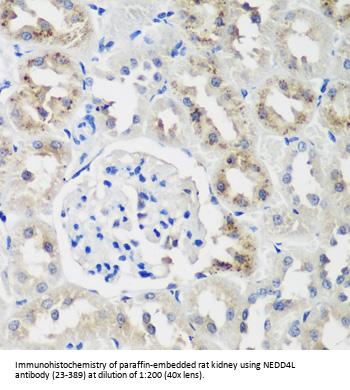
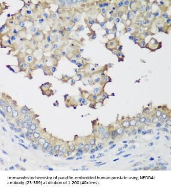
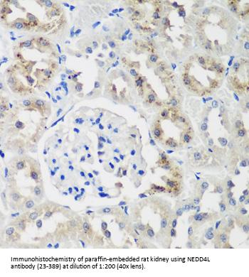
Applications WB, IF, IHC
Specific against Human (Homo sapiens), Mouse (Murine, Mus musculus), Rat (Rattus norvegicus)
Host Rabbit
Isotype IgG
Conjugate/Tag Unconjugated
NCBI NEDD4L
ECLASS 10.1 32160702
ECLASS 11.0 32160702
UNSPSC 12352203
Alias E3 ubiquitin-protein ligase NEDD4-like,632-,NEDD42,Nedd4-2,NEDD4L,KIAA0439,NEDL3
Shipping Condition Cool pack
Available
Specificity Human,Mouse,Rat
Manufacturer - Type
Primary Antibodies
Shipping Temperature
Blue Ice
Storage Conditions
Store at -20˚ C. Avoid freeze / thaw cycles.
Molecular Weight
Observed: 113kDa
Manufacturer - Research Area
Cell Cycle
Background
This gene encodes a member of the Nedd4 family of HECT domain E3 ubiquitin ligases. HECT domain E3 ubiquitin ligases transfer ubiquitin from E2 ubiquitin-conjugating enzymes to protein substrates, thus targeting specific proteins for lysosomal degradation. The encoded protein mediates the ubiquitination of multiple target substrates and plays a critical role in epithelial sodium transport by regulating the cell surface expression of the epithelial sodium channel, ENaC. Single nucleotide polymorphisms in this gene may be associated with essential hypertension. Alternatively spliced transcript variants encoding multiple isoforms have been observed for this gene.
By Type
Cell Cycle
Modifications
None
Purification
Affinity purification
Positive Control 1
BT-474
Positive Control 2
Mouse brain
Positive Control 3
Rat brain
Concentration
batch dependent
Buffer
PBS with 0.02% sodium azide, 50% glycerol, pH7.3.
Application Note
WB: 1:500 - 1:2000
IHC: 1:50 - 1:200
IF: 1:50 - 1:200
Immunogen
Recombinant fusion protein containing a sequence corresponding to amino acids 836-955 of human NEDD4L (NP_056092.2).
Clonality
Polyclonal
NCBI Official Name
E3 ubiquitin-protein ligase NEDD4-like
NCBI Organism
Homo sapiens
User Note
Optimal dilutions for each application to be determined by the researcher.

Note: The presented information and documents (Manual, Product Datasheet, Safety Datasheet and Certificate of Analysis) correspond to our latest update and should serve for orientational purpose only. We do not guarantee the topicality. We would kindly ask you to make a request for specific requirements, if necessary.

All products are intended for research use only (RUO). Not for human, veterinary or therapeutic use.

Amount: 100 uL
Available: In stock
available

Delivery expected until 11/6/2025 

Compare

Add to wishlist

Get an offer

Request delivery time

Ask a technical question

Submit a bulk request

Questions about this Product?
 
Close