Comparison

C5 Antibody

Item no. PRS-23-402-100uL
Manufacturer ProSci
Amount 100 uL
Quantity options 100 uL
Category
Type Antibody Primary
Format Liquid
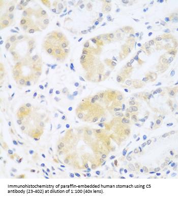
Applications WB, IF, IHC
Specific against Human (Homo sapiens), Mouse (Murine, Mus musculus), Rat (Rattus norvegicus)
Host Rabbit
Isotype IgG
Conjugate/Tag Unconjugated
NCBI C5
ECLASS 10.1 32160702
ECLASS 11.0 32160702
UNSPSC 12352203
Alias Complement C5,C3 and PZP-like alpha-2-macroglobulin domain-containing protein 4,Complement C5 beta chain,Complement C5 alpha chain,C5a anaphylatoxin,Complement C5 alpha' chain,C5,CPAMD4
Shipping Condition Cool pack
Available
Specificity Human,Mouse,Rat
Manufacturer - Type
Primary Antibodies
Shipping Temperature
Blue Ice
Storage Conditions
Store at -20˚ C. Avoid freeze / thaw cycles.
Molecular Weight
Observed: 110kDa
Manufacturer - Research Area
Chemokines & Cytokines, Immunology, Innate Immunity, Neuroscience
Background
This gene encodes a component of the complement system, a part of the innate immune system that plays an important role in inflammation, host homeostasis, and host defense against pathogens. The encoded preproprotein is proteolytically processed to generate multiple protein products, including the C5 alpha chain, C5 beta chain, C5a anaphylatoxin and C5b. The C5 protein is comprised of the C5 alpha and beta chains, which are linked by a disulfide bridge. Cleavage of the alpha chain by a convertase enzyme results in the formation of the C5a anaphylatoxin, which possesses potent spasmogenic and chemotactic activity, and the C5b macromolecular cleavage product, a subunit of the membrane attack complex (MAC). Mutations in this gene cause complement component 5 deficiency, a disease characterized by recurrent bacterial infections. Alternative splicing results in multiple transcript variants.
By Type
Chemokines & Cytokines, Immunology, Innate Immunity, Neuroscience
Modifications
None
Purification
Affinity purification
Positive Control 1
U-937
Positive Control 2
Raji
Positive Control 3
Jurkat
Positive Control 4
Mouse heart
Positive Control 5
Rat liver
Concentration
batch dependent
Buffer
PBS with 0.02% sodium azide, 50% glycerol, pH7.3.
Application Note
WB: 1:500 - 1:2000
IHC: 1:50 - 1:100
IF: 1:50 - 1:100
Immunogen
Recombinant fusion protein containing a sequence corresponding to amino acids 1567-1676 of human C5 (NP_001726.2).
Clonality
Polyclonal
NCBI Official Name
Complement C5
NCBI Organism
Homo sapiens
User Note
Optimal dilutions for each application to be determined by the researcher.

Note: The presented information and documents (Manual, Product Datasheet, Safety Datasheet and Certificate of Analysis) correspond to our latest update and should serve for orientational purpose only. We do not guarantee the topicality. We would kindly ask you to make a request for specific requirements, if necessary.

All products are intended for research use only (RUO). Not for human, veterinary or therapeutic use.

Amount: 100 uL
Available: In stock
available

Compare

Add to wishlist

Get an offer

Request delivery time

Ask a technical question

Submit a bulk request

Questions about this Product?
 
Close