Comparison

CDH11 Antibody

Item no. PRS-23-407-100uL
Manufacturer ProSci
Amount 100 uL
Quantity options 100 uL
Category
Type Antibody Primary
Format Liquid
Applications WB, IHC
Specific against Human (Homo sapiens), Mouse (Murine, Mus musculus), Rat (Rattus norvegicus)
Host Rabbit
Isotype IgG
Conjugate/Tag Unconjugated
NCBI CDH11
ECLASS 10.1 32160702
ECLASS 11.0 32160702
UNSPSC 12352203
Alias CDH11,osteoblast cadherin,OSF-4,OB-cadherin,OB,CDHOB,cadherin-11,cadherin 11,type 2,OB-cadherin (osteoblast),CAD11
Shipping Condition Cool pack
Available
Specificity Human,Mouse,Rat
Manufacturer - Type
Primary Antibodies
Shipping Temperature
Blue Ice
Storage Conditions
Store at -20˚ C. Avoid freeze / thaw cycles.
Molecular Weight
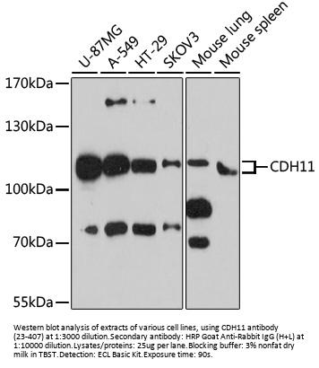
Observed: 120kDa
Manufacturer - Research Area
Cancer, Cell Cycle, Signal Transduction
Background
This gene encodes a type II classical cadherin from the cadherin superfamily, integral membrane proteins that mediate calcium-dependent cell-cell adhesion. Mature cadherin proteins are composed of a large N-terminal extracellular domain, a single membrane-spanning domain, and a small, highly conserved C-terminal cytoplasmic domain. Type II (atypical) cadherins are defined based on their lack of a HAV cell adhesion recognition sequence specific to type I cadherins. Expression of this particular cadherin in osteoblastic cell lines, and its upregulation during differentiation, suggests a specific function in bone development and maintenance.
By Type
Cancer, Cell Cycle, Signal Transduction
Modifications
None
Purification
Affinity purification
Positive Control 1
U-87MG
Positive Control 2
A-549
Positive Control 3
HT-29
Positive Control 4
SKOV3
Positive Control 5
Mouse lung
Positive Control 6
Mouse spleen
Concentration
batch dependent
Buffer
PBS with 0.02% sodium azide, 50% glycerol, pH7.3.
Application Note
WB: 1:500 - 1:2000
IHC: 1:50 - 1:100
Immunogen
Recombinant fusion protein containing a sequence corresponding to amino acids 637-796 of human CDH11 (NP_001788.2).
Clonality
Polyclonal
NCBI Official Name
cadherin 11, type 2, OB-cadherin (osteoblast)
NCBI Organism
Homo sapiens
User Note
Optimal dilutions for each application to be determined by the researcher.

Note: The presented information and documents (Manual, Product Datasheet, Safety Datasheet and Certificate of Analysis) correspond to our latest update and should serve for orientational purpose only. We do not guarantee the topicality. We would kindly ask you to make a request for specific requirements, if necessary.

All products are intended for research use only (RUO). Not for human, veterinary or therapeutic use.

Amount: 100 uL
Available: In stock
available

Compare

Add to wishlist

Get an offer

Request delivery time

Ask a technical question

Submit a bulk request

Questions about this Product?
 
Close