Comparison

P2RY14 Antibody

Item no. PRS-23-446-100uL
Manufacturer ProSci
Amount 100 uL
Quantity options 100 uL
Category
Type Antibody Primary
Format Liquid
Applications WB
Specific against Human (Homo sapiens), Mouse (Murine, Mus musculus), Rat (Rattus norvegicus)
Host Rabbit
Isotype IgG
Conjugate/Tag Unconjugated
NCBI P2RY14
ECLASS 10.1 32160702
ECLASS 11.0 32160702
UNSPSC 12352203
Alias BPR105,GPR105,P2Y14,P2Y purinoceptor 14,G protein coupled receptor for UDP-glucose,G-protein coupled receptor 105,P2Y(14) receptor,P2Y14 receptor,UDP-glucose receptor,purinergic receptor P2Y,G-protein coupled,14
Shipping Condition Cool pack
Available
Specificity Human,Mouse,Rat
Manufacturer - Type
Primary Antibodies
Shipping Temperature
Blue Ice
Storage Conditions
Store at -20˚ C. Avoid freeze / thaw cycles.
Molecular Weight
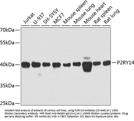
Observed: 42kDa
Manufacturer - Research Area
Signal Transduction
Background
The product of this gene belongs to the family of G-protein coupled receptors, which contains several receptor subtypes with different pharmacological selectivity for various adenosine and uridine nucleotides. This receptor is a P2Y purinergic receptor for UDP-glucose and other UDP-sugars coupled to G-proteins. It has been implicated in extending the known immune system functions of P2Y receptors by participating in the regulation of the stem cell compartment, and it may also play a role in neuroimmune function. Two transcript variants encoding the same protein have been identified for this gene.
By Type
Signal Transduction
Modifications
None
Purification
Affinity purification
Positive Control 1
Jurkat
Positive Control 2
U-937
Positive Control 3
SH-SY5Y
Positive Control 4
MCF7
Positive Control 5
Mouse spleen
Positive Control 6
Mouse lung
Concentration
batch dependent
Buffer
PBS with 0.02% sodium azide, 50% glycerol, pH7.3.
Application Note
WB: 1:500 - 1:2000
Immunogen
Recombinant fusion protein containing a sequence corresponding to amino acids 209-338 of human P2RY14 (NP_055694.3).
Clonality
Polyclonal
NCBI Official Name
purinergic receptor P2Y14
NCBI Organism
Homo sapiens
User Note
Optimal dilutions for each application to be determined by the researcher.

Note: The presented information and documents (Manual, Product Datasheet, Safety Datasheet and Certificate of Analysis) correspond to our latest update and should serve for orientational purpose only. We do not guarantee the topicality. We would kindly ask you to make a request for specific requirements, if necessary.

All products are intended for research use only (RUO). Not for human, veterinary or therapeutic use.

Amount: 100 uL
Available: In stock
available

Compare

Add to wishlist

Get an offer

Request delivery time

Ask a technical question

Submit a bulk request

Questions about this Product?
 
Close