Comparison

IL4I1 Antibody

Item no. PRS-23-542-100uL
Manufacturer ProSci
Amount 100 uL
Quantity options 100 uL
Category
Type Antibody Primary
Format Liquid
Applications WB
Specific against Human (Homo sapiens), Mouse (Murine, Mus musculus), Rat (Rattus norvegicus)
Host Rabbit
Isotype IgG
Conjugate/Tag Unconjugated
NCBI IL4I1
ECLASS 10.1 32160702
ECLASS 11.0 32160702
UNSPSC 12352203
Alias L-amino-acid oxidase,LAAO,LAO,1.4.3.2,Interleukin-4-induced protein 1,IL4-induced protein 1,Protein Fig-1,hFIG1,IL4I1,FIG1
Shipping Condition Cool pack
Available
Specificity Human,Mouse,Rat
Manufacturer - Type
Primary Antibodies
Shipping Temperature
Blue Ice
Storage Conditions
Store at -20˚ C. Avoid freeze / thaw cycles.
Molecular Weight
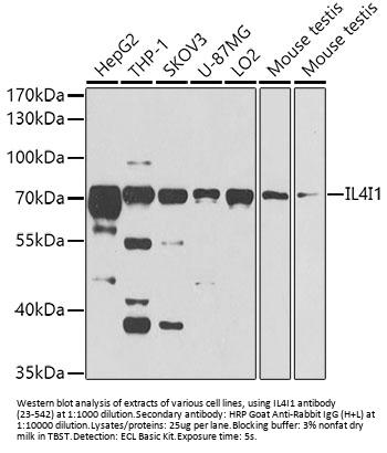
Observed: 70kDa
Manufacturer - Research Area
Apoptosis, Cell Cycle
Background
This gene encodes a protein with limited similarity to L-amino acid oxidase which contains the conserved amino acids thought to be involved in catalysis and binding of flavin adenine dinucleotide (FAD) cofactor. The expression of this gene can be induced by interleukin 4 in B cells, however, expression of transcripts containing the first two exons of the upstream gene is found in other cell types. Multiple transcript variants encoding different isoforms have been found for this gene.
By Type
Apoptosis, Cell Cycle
Modifications
None
Purification
Affinity purification
Positive Control 1
HepG2
Positive Control 2
THP-1
Positive Control 3
SKOV3
Positive Control 4
U-87MG
Positive Control 5
LO2
Positive Control 6
Mouse testis
Concentration
batch dependent
Buffer
PBS with 0.02% sodium azide, 50% glycerol, pH7.3.
Application Note
WB: 1:500 - 1:2000
Immunogen
Recombinant fusion protein containing a sequence corresponding to amino acids 22-220 of human IL4I1 (NP_690863.1).
Clonality
Polyclonal
NCBI Official Name
L-amino-acid oxidase
NCBI Organism
Homo sapiens
User Note
Optimal dilutions for each application to be determined by the researcher.

Note: The presented information and documents (Manual, Product Datasheet, Safety Datasheet and Certificate of Analysis) correspond to our latest update and should serve for orientational purpose only. We do not guarantee the topicality. We would kindly ask you to make a request for specific requirements, if necessary.

All products are intended for research use only (RUO). Not for human, veterinary or therapeutic use.

Amount: 100 uL
Available: In stock
available

Delivery expected until 11/6/2025 

Compare

Add to wishlist

Get an offer

Request delivery time

Ask a technical question

Submit a bulk request

Questions about this Product?
 
Close