Comparison

BMP5 Antibody

Item no. PRS-23-558-100uL
Manufacturer ProSci
Amount 100 uL
Quantity options 100 uL
Category
Type Antibody Primary
Format Liquid
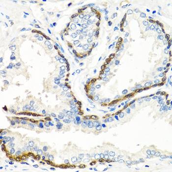
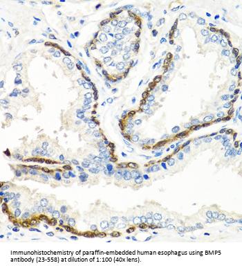
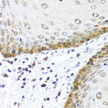
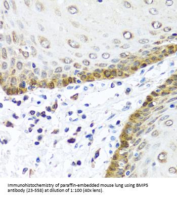
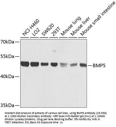
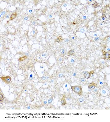
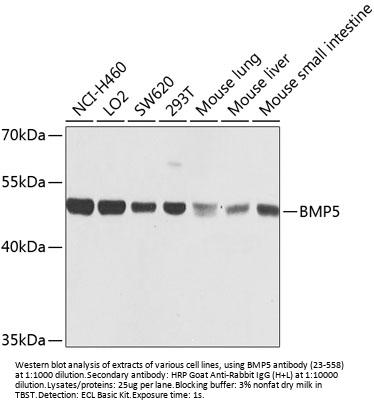
Applications WB, IHC
Specific against Human (Homo sapiens), Mouse (Murine, Mus musculus), Rat (Rattus norvegicus)
Host Rabbit
Isotype IgG
Conjugate/Tag Unconjugated
NCBI BMP5
ECLASS 10.1 32160702
ECLASS 11.0 32160702
UNSPSC 12352203
Alias BMP5,bone morphogenetic protein 5,MGC34244,
Shipping Condition Cool pack
Available
Specificity Human,Mouse,Rat
Manufacturer - Type
Primary Antibodies
Shipping Temperature
Blue Ice
Storage Conditions
Store at -20˚ C. Avoid freeze / thaw cycles.
Molecular Weight
Observed: 52kDa
Manufacturer - Research Area
Cell Cycle, Chemokines & Cytokines, Growth Factors, Immunology, Signal Transduction, Stem Cell
Background
This gene encodes a member of the bone morphogenetic protein family which is part of the transforming growth factor-beta superfamily. The superfamily includes large families of growth and differentiation factors. Bone morphogenetic proteins were originally identified by an ability of demineralized bone extract to induce endochondral osteogenesis in vivo in an extraskeletal site. These proteins are synthesized as prepropeptides, cleaved, and then processed into dimeric proteins. This protein may act as an important signaling molecule within the trabecular meshwork and optic nerve head, and may play a potential role in glaucoma pathogenesis. This gene is differentially regulated during the formation of various tumors.
By Type
Cell Cycle, Chemokines & Cytokines, Growth Factors, Immunology, Signal Transduction, Stem Cell
Modifications
None
Purification
Affinity purification
Positive Control 1
H460
Positive Control 2
LO2
Positive Control 3
SW620
Positive Control 4
293T
Positive Control 5
Mouse liver
Positive Control 6
Mouse small intestine
Concentration
batch dependent
Buffer
PBS with 0.02% sodium azide, 50% glycerol, pH7.3.
Application Note
WB: 1:500 - 1:2000
IHC: 1:50 - 1:100
Immunogen
Recombinant fusion protein containing a sequence corresponding to amino acids 317-454 of human BMP5 (NP_066551.1).
Clonality
Polyclonal
NCBI Official Name
bone morphogenetic protein 5
NCBI Organism
Homo sapiens
User Note
Optimal dilutions for each application to be determined by the researcher.

Note: The presented information and documents (Manual, Product Datasheet, Safety Datasheet and Certificate of Analysis) correspond to our latest update and should serve for orientational purpose only. We do not guarantee the topicality. We would kindly ask you to make a request for specific requirements, if necessary.

All products are intended for research use only (RUO). Not for human, veterinary or therapeutic use.

Amount: 100 uL
Available: In stock
available

Compare

Add to wishlist

Get an offer

Request delivery time

Ask a technical question

Submit a bulk request

Questions about this Product?
 
Close